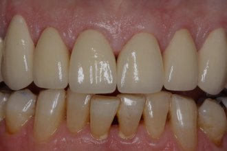
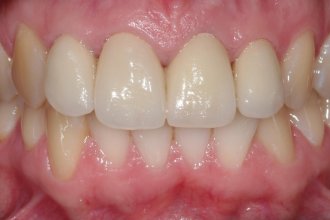
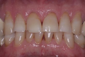
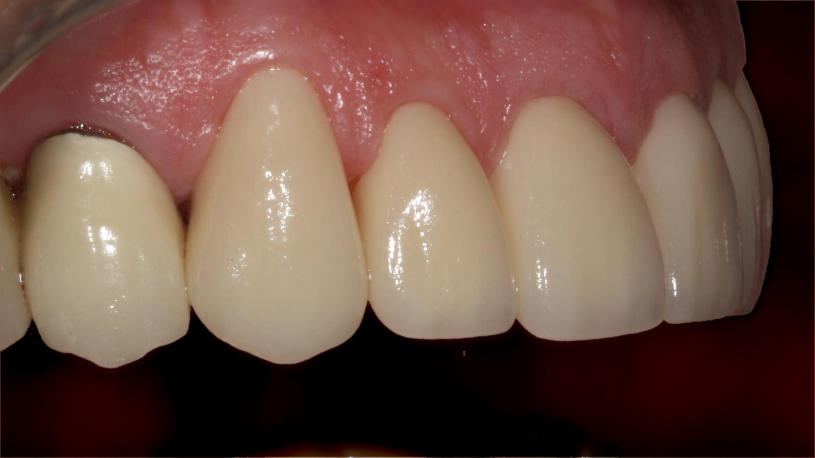
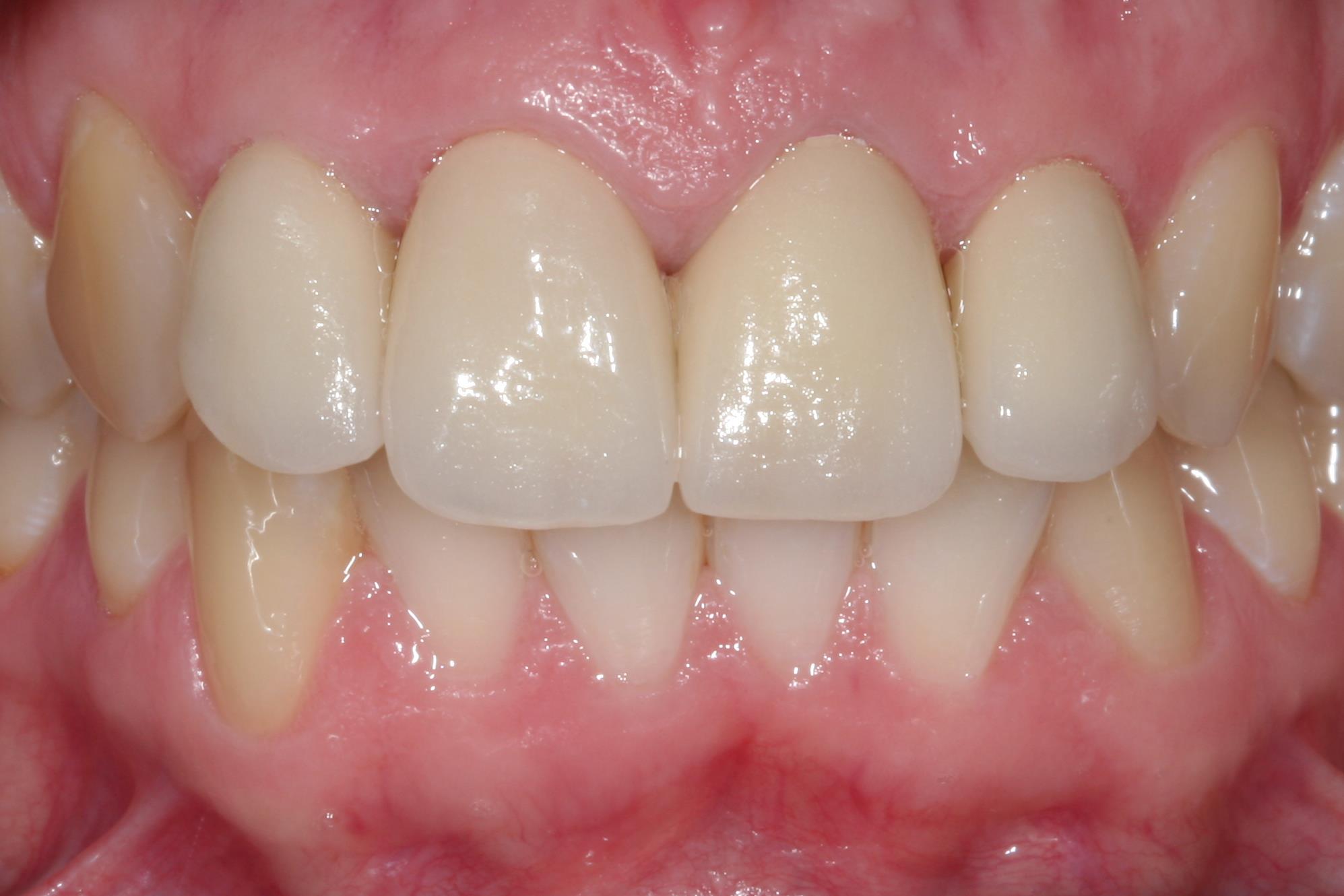
Zirkonkronen im Frontzahnbereich
Zirkonkeramikkronen haben eine hohe Festigkeit, sind von natürlichen Zähnen kaum zu unterscheiden, und erzeugen keine Allergien. Das Zahnfleisch schmiegt sich nach kurzer Zeit an die Krone. Wenn bei Metallkeramik das Zahnfleisch zurückgeht, entstehen unschöne dunkle Ränder wie auf den Fotos zu erkennen.
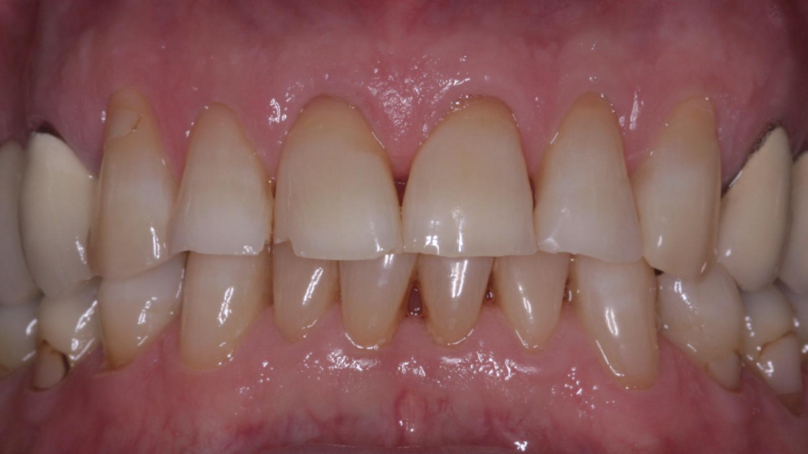
Fotos zur Farbbestimmung, Gesichtsanalyse und Korrekturhilfe

