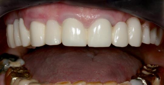
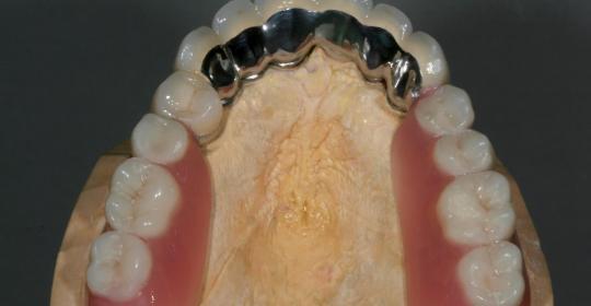
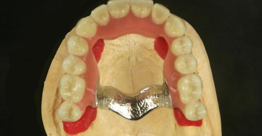
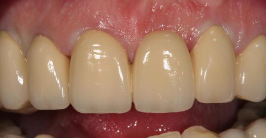
Telekopierende Prothesen
Durch Teleskope bekommt der herausnehmbare Anteil des Zahnersatzes einen festen Halt im Mund. Wir gestalten alles so grazil wie möglich, aber so stabil wie nötig. Die Prothese wird so gestaltet, das sie schnell von Ihnen als angenehm empfunden und nach einer kurzen Eingewöhnungszeit nicht mehr als Fremdkörper wahrgenommen wird. Um so mehr Teleskope an der Prothese beteiligt sind, je langlebiger und komfortabler wird der Zahnersatz. Denn die Kaukräfte wirken dann auf mehr Zähne und weniger Zahnfleisch. Auch hier kann durch Zahnimplantate der Tragekomfort und die Ästhetik wesentlich erhöht werden.

