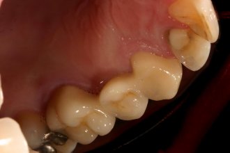
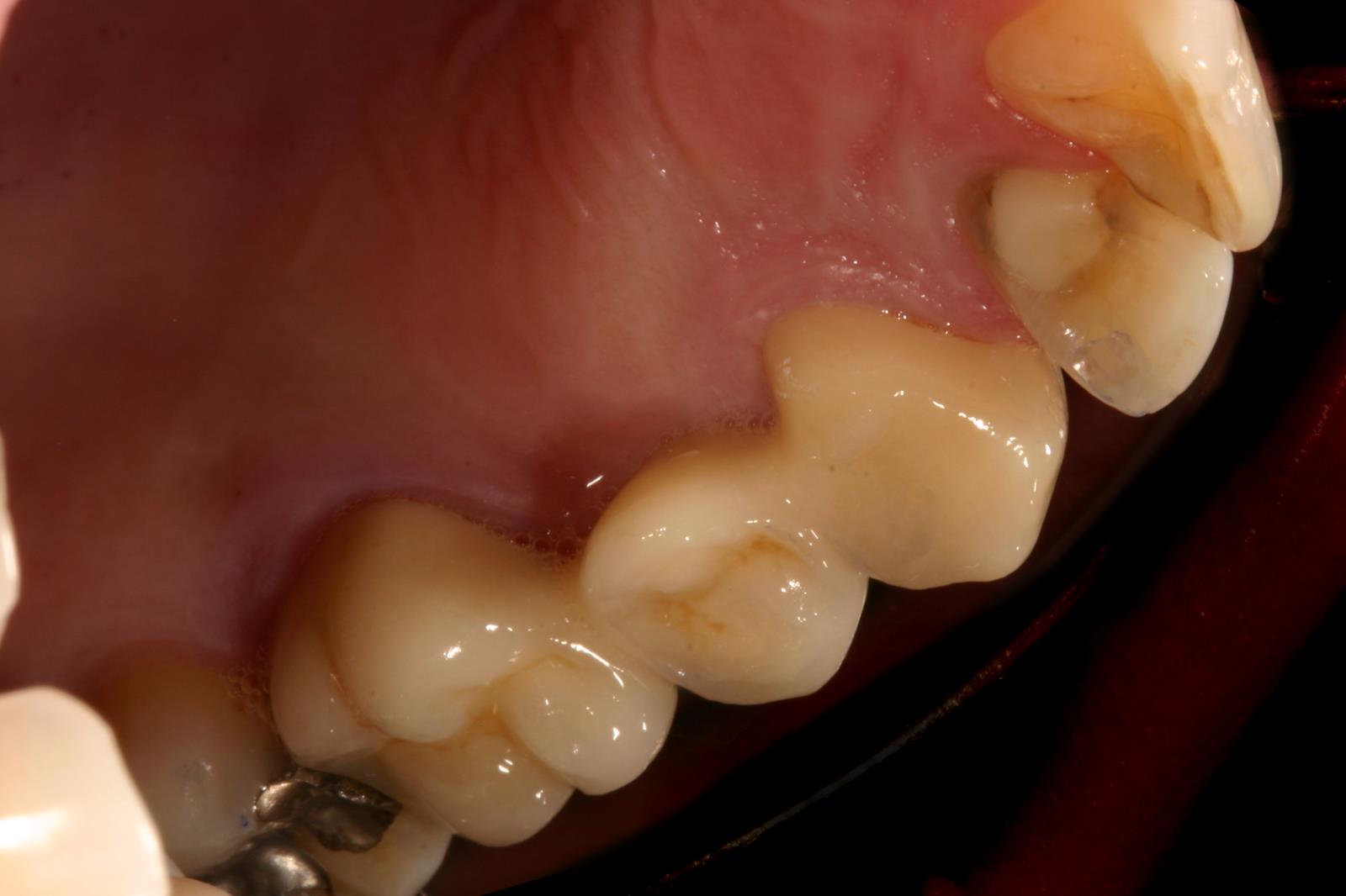
Vollkeramikbrücken verblendet
Fast unsichtbar fügt sich die Zirkonbrücke in das orale Umfeld ein. Sie besitzt eine transluzente Ästhetik, wie beim natürlichen Zahn durch eine aufgeschichtete Verblendkeramik. Es sind keine allergischen Reaktionen zu befürchten. Bei Knirschern ist die Vollzirkonbrücke empfehlenswerter. Sie ist aber nicht so transluzent wie ein natürlicher Zahn.

