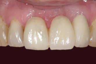
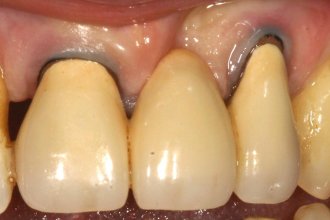
Vollkeramik kontra Metallkeramik
Neue Werkstoffe und Herstellungstechniken haben in den letzten Jahren die Zahnmedizin revolutioniert. Dabei spielt CAD CAM und die Verarbeitung von der Hochleistungskeramik Zirkon eine wichtige Rolle. Nachdem wir Zirkon circa 10 Jahre verarbeitet haben, können wir die Alltagstauglichkeit bestätigen. Hier noch mal in Kürze eine Gegenüberstellung
|
Vollkeramik (Zirkon) |
Metallkeramik |
|---|---|
|
Durch das zahnähnliche, transparente Material kein schwarzer Rand |
Durch die dünn auslaufende Verblendung mit unterlegtem Metall im Randbereich gräulich mit Abschattung der Gingiva. (Bläulicher Saum) |
|
Heller Transluzenter Untergrund für die Verblendung |
Das schwarze Metalloxid (Egal ob Gold oder NEM) muss erst durch lichtundurchlässigen „Opaker“ abgeblockt werden, um eine transluzente Verblendung aufzubauen. |
|
Stabilität bei bis zu 2 Brückengliedern kein Problem, wenn die Querschnitte eingehalten werden können. Die Verblendkeramiken für Zirkon sind nicht für Knirscher freigegeben. Zahnersatz aus Vollzirkon ist hart genug auch für Knirscher, hat aber ästhetisch Nachteile, da weniger transparent und nicht so brillant. |
NEM ist in Puncto Stabilität allen anderen Materialien überlegen. Es gibt aber keine Verblendkeramik, die für Knirscher freigegeben ist! |
|
Allergiepotential gleich Null. Es findet kein Austausch mit umliegenden Geweben statt. |
Eigentlich haben wir auch bei NEM keine auftretenden Allergieprobleme. Bei unsauberer Verarbeitung können aber Metallionen in Lösung gehen und umliegendes Gewebe angreifen. |

