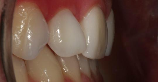
Teilkronen
Inlays aus Gold oder Keramik können defekte Zähne im Seitenzahnbereich langfristig stabilisieren, ohne das viel Zahnsubstanz geopfert werden muß. Keramikinlays oder Teilkronen sind zusätzlich noch zahnfarben und deshalb fast unsichtbar..
Veneers (Schalen aus Keramik) sind die Königsdisziplin in der ästhetischen Zahnheilkunde. Mit Ihnen lassen sich ohne viel zu schleifen Defekte beseitigen und Fehlstellungen der Zähne verändern. Wenn möglich können wir vor Behandlungsbeginn zeigen, wie es hinterher aussieht.

