Info Veneerplanung
Vorher wissen, wie Sie nachher aussehen!
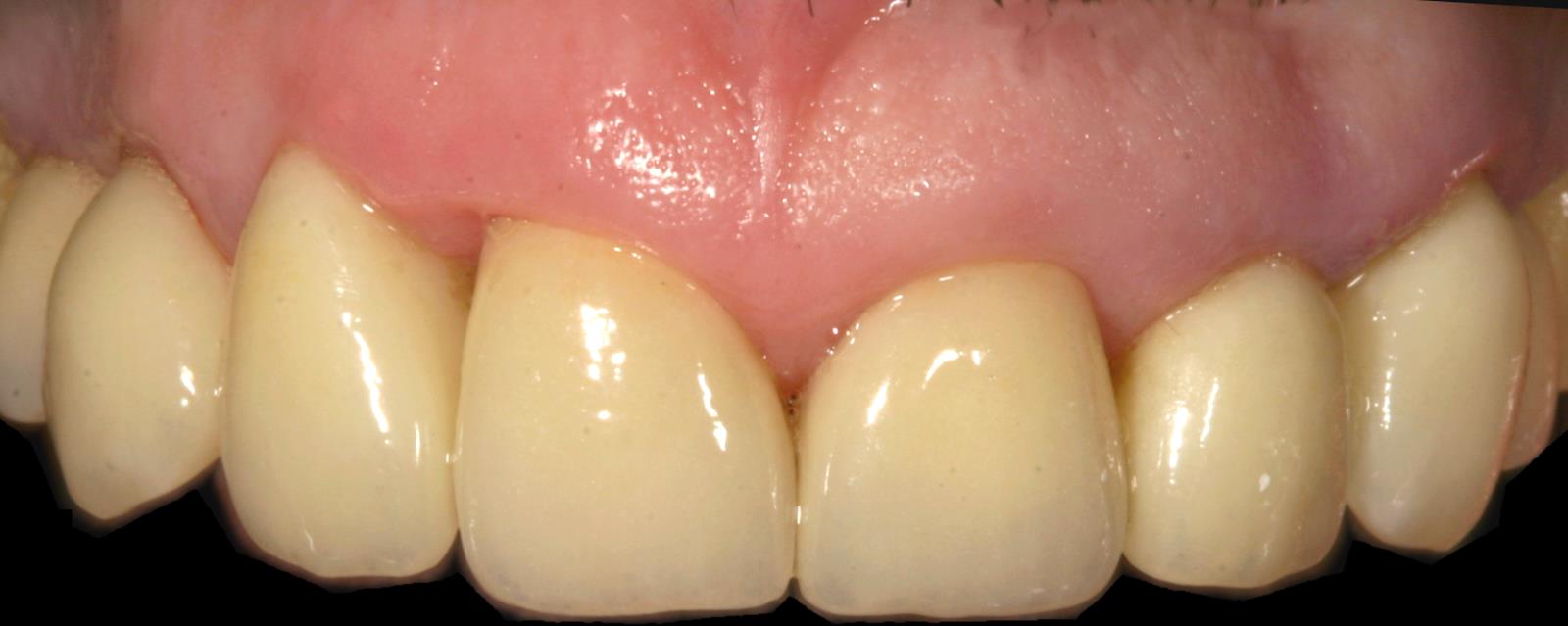
Stehen die Frontzähne unregelmäßig oder lückig? Haben sich durch Zahnfleischschwund "schwarze Löcher" gebildet?, Oft ist es schwer, sich vorzustellen, wie das Ergebnis aussieht. Wir modellieren individuell aus zahnfarbenem Wachs auf einem Gipsmodell Ihrer Zähne, wie Sie nach der Behandlung aussehen. Unter Umständen können auch Kunststoffschalen angefertigt und im Mund provisorisch verklebt werden. So wird die Ästhetik perfekt simuliert.. Vom Zahnarzt oder von Ihnen gewünschte Änderungen lassen sich vor der Herstellung des Zahnersatzes noch vornehmen und kontrollieren. So wissen wir, was Sie sich vorstellen und welche Erwartungen Sie an Ihrem Zahnersatz stellen und Sie bekommen, was Sie sich wünschen.

