go to content
Greiten Dentallabor GmbH&Co.KG

Prothetikkatalog.de

Zirkonprimärteile - ästhetischer und kratzfest

Weiße Primärteile -. Zahnähnlicher

Menu
K
:
:
 

| Registrierung

P
  • Home
  • Infos für Zahnärzte
    • Kronen und Brücken
      • Eierschalenpv
      • CAD CAM gefrästes PV
      • Kronen und Brücken aus Metall
      • Teilkronen
        • Inlays, Presskeramik- und Goldinlays
        • Teilkronen in Presskeramik und Gold
        • Veneer gemalt, Presskeramik
        • Veneer geschichtet verfärbter Zahn
        • Veneers geschichtet Presskeramik
        • Veneers geschichtet Presskeramik Kaschierung von Lücken
        • Keramikchip / Funktion: zum Aufbau der Eckzahnführung
      • Metallkeramik
        • Metallkeramikkronen
        • Metallkeramikkr. auf Implantat
        • Metallkeramikbrücken als Kassenlösung
        • Metallkeramikbrückenglieder im Frontzahnbereich
        • Metallkeramikkrone auf einteiligem Implantat
        • Seitenzahnbrücke auf Implantat mit einem individuellen Aufbau
        • Metallkeramikbrücken mit Teilungsgeschiebe
      • Vollkeramik
        • Presskeramikkrone gemalt
        • Presskeramikkronen geschichtet E-max
        • Anprobe mit gefrästem Kunststoffgerüst
        • Zirkonkronen im Frontzahnbereich
        • Vollkeramikkronen Front auf Implantat
        • Vollkeramikbrücken verblendet
        • Vollkeramikbrücken auf Implantaten
        • Umfangreiche Versorgung mit Vollkeramik
        • Vollkeramik und Marylandbrücke
        • Vollzirkonkrone
        • Offener Schraubkanal
        • Keramikbrücken mit Zahnfleisch
    • Herausnehmbarer Zahnersatz
      • Teleskopvarianten
      • Teleskopvarianten auf Implantaten
      • Friktionsverbesserung
      • Zirkonprimärteile - ästhetischer und kratzfest
      • Keramisch verblendete Teleskope: Erfahrungen seit 1990
      • Teleskopierende Brücken
        • Teleskopbrücken auf natürlichen Pfeiler
        • Telebrücke mit Pfeilervermehrung
        • Teleskopbrücken auf Implantate
        • Teleskopbrücken auf Implantate mit Gingivaanteil
      • Teleskopierende Prothesen
        • Bügellose Teleskopprothesen
        • Cover Denture / Preiswerte Teleskopprothesen
        • Verbesserte Abstützung, mehr Komfort, Langlebiger durch Implantate
        • Ästhetische Möglichkeiten - Brückenglieder in der Kombinationstechnik
        • Ankerbandklammer
        • Implantatgetragene Vollprothese
        • Tele mit Klammern
        • Teleskop mit Knopfanker
        • Reiseprothese
      • Stege, Geschiebe
        • Kugelkopfanker auf Implantaten
        • Kombinierte mit Geschieben
        • Kombinierte mit konfektioniertem Riegel
        • Individuelle Stege
        • Novaloc
      • Klammermodellguß
    • Infos / Arbeitsanleitungen
      • Info Veneerplanung
      • Info Präp und Befestigung von Presskeramik
      • Einsetzen von Presskeramikkronen und Veneers e.max
      • Vollkeramik versus Metallkeramik
      • Info Präp und Befestigung Zirkon
      • Info Funktion Refuwachsanprobe, Kunststoffaufbiss
      • CAD – CAM gefräste Teleskope
      • Der Weg zur passenden Teleskopprothese
      • Kurzanleitung Telebrücke
      • Kurzanleitung Kombinierte mit Implantaten
      • Bohrschablone
      • Einsetzhilfen Implantataufbauten
      • Farbnahme
      • Fotos zur Farbbestimmung, Gesichtsanalyse und Korrekturhilfe
      • Okklusionsausgleich
      • Teleskop abgebrochen – was tuen
    • Kunststoff/Sonstiges
      • Schnarcherschiene
      • Namensschild in Prothese
      • Aufbissschiene
  • Infos für Patienten
    • Kronen und Brücken
      • CAD CAM gefrästes PV
      • Kronen und Brücken aus Metall
      • Teilkronen
        • Inlays Presskeramik und Goldinlays
        • Teilkronen in Presskeramik und Gold
        • Veneer gemalt – Presskeramik
        • Veneer geschichtet verfärbter Zahn
        • Veneers geschichtet Presskeramik zur Kaschierung parodontaler Probleme
        • Veneers geschichtet Presskeramik Kaschierung von Lücken
        • Keramikchip - Funktion - zum Aufbau der Eckzahnführung
      • Metallkeramik
        • Metallkeramikkronen
        • Metallkeramikkronen auf Implantat
        • Metallkeramikbrücken als Kassenlösung
        • Metallkeramikbrückenglieder im Frontzahnbereich
        • Metallkeramikkrone auf einteiligem Implantat
        • Seitenzahnbrücke auf Implantaten mit einem individuellen Aufbau
        • Metallkeramikbrücken mit Teilungsgeschiebe
      • Vollkeramik
        • Presskeramikrone gemalt
        • Presskeramikkronen geschichtet E-max
        • Anprobe mit gefrästem Kunststoffgerüst
        • Zirkonkronen im Frontzahnbereich
        • Vollkeramikkronen Front auf Implantat
        • Vollkeramikbrücken verblendet
        • Vollkeramikbrücken auf Implantaten
        • Umfangreiche Versorgung mit Vollkeramik
        • Vollkeramik und Marylandbrücke
        • Vollzirkonkrone
        • Offener Schraubkanal
        • Keramikbrücken mit Zahnfleisch
    • Herausnehmbarer Zahnersatz
      • Teleskopvarianten
      • Teleskopvarianten auf Implantaten
      • CAD – CAM gefräste Teleskope
      • Zirkonprimärteile - ästhetischer und kratzfest
      • Galvanisieren alter Teleskopprothesen
      • Keramisch verblendete Teleskope: Über 25 jährige Erfahrung
      • Teleskopierende Brücken
        • Teleskopbrücken auf natürlichen Pfeiler
        • Telebrücke mit Pfeilervermehrung
        • Telekopierende Brücke auf Implantaten
        • Teleskopbrücken auf Implantate mit Gingivaanteil
      • Teleskopierende Prothesen
        • Bügellose Teleskopprothesen
        • Implantatgetragene Vollprothese
        • Cover Denture / Preiswerte Teleskopprothesen
        • Verbesserte Abstützung, mehr Komfort, Langlebiger durch Implantate
        • Ästhetische Möglichkeiten - Brückenglieder in der Kombinationstechnik
        • Ankerbandklammer
        • Tele mit Klammern
        • Reiseprothese
      • Stege, Locatoren, Geschiebe
        • Kombinierte mit Geschieben
        • Kombinierte mit konfektioniertem Riegel
        • Stege
        • Novaloc
      • Klammermodellguß
    • Info
      • Info Veneerplanung
      • Vollkeramik kontra Metallkeramik
      • Fotos zur Farbbestimmung, Gesichtsanalyse und Korrekturhilfe
      • Aufbissschiene
    • Kunststoff/Sonstiges
      • Okklusionsausgleich bei neuem Zahnersatz
      • Schnarcherschiene
      • Namensschild in Prothese
  • Kontakt
Start » Infos für Patienten » Herausnehmbarer Zahnersatz » Zirkonprimärteile - ästhetischer und kratzfest

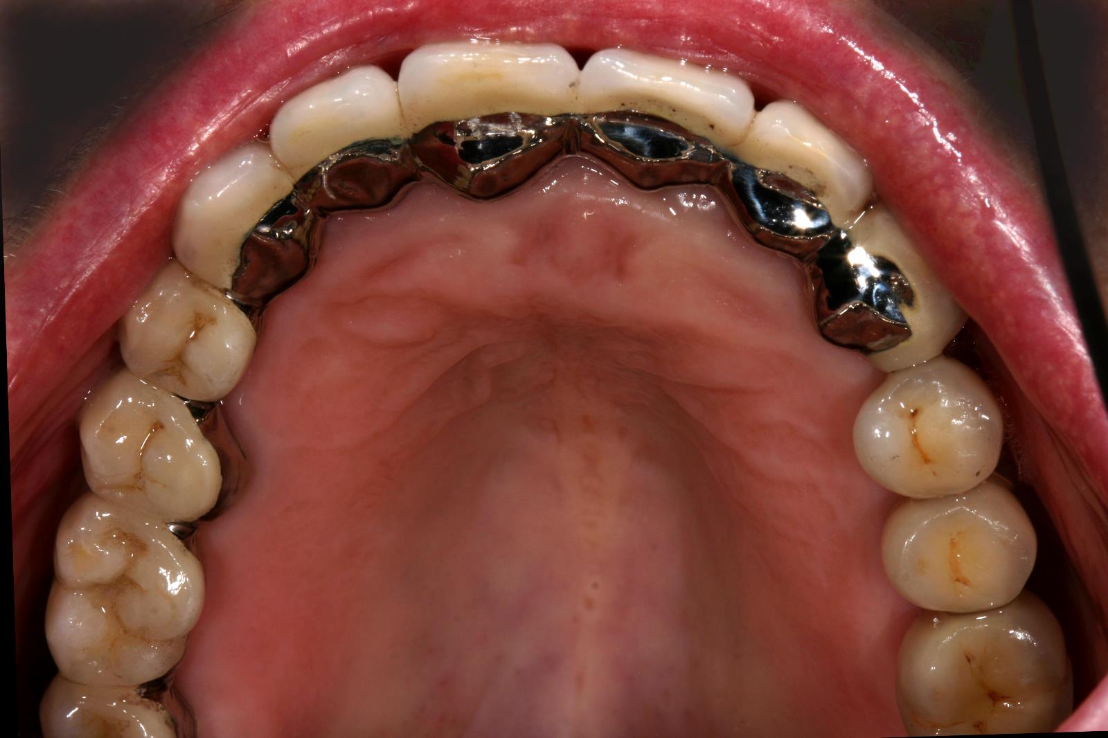
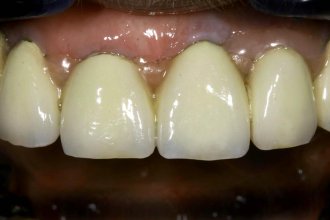
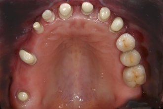
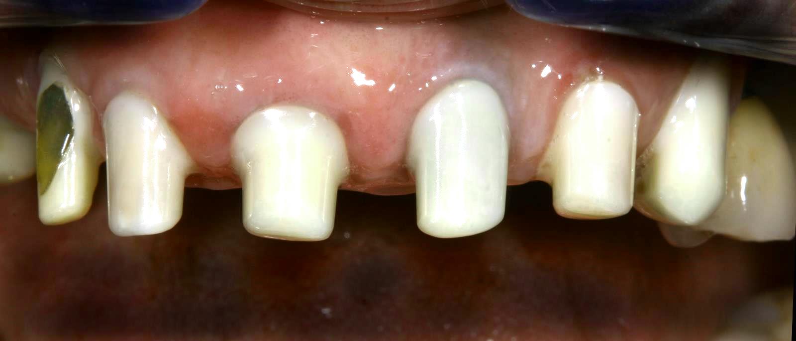
Zirkonprimärteile - ästhetischer und kratzfest

  • Zirkonprimärteile im Mund
  • Die darüber geschobene Prothese
  • Zirkonprimärteile in der Aufsicht
  • Die darüber geschobene Prothese
  • Zirkonprimärteil mit Schraubkanal

Zirkonprimärteile - ästhetischer und kratzfest

Zirkonprimärteile sind die weiße Alternative zu silberfarbigen, metallenen Primärteilen in der Teleskoptechnik. Durch die extrem harte und homogene Oberfläche können sie nicht zerkratzen und die Ein- und Ausgliederung der Prothese ist sehr angenehm.