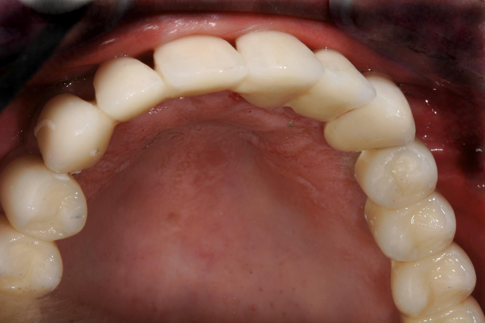
Vollkeramikbrücken auf Implantaten
Bei einem relativ kleinen Restzahnbestand wurde doch auf herausnehmbaren Zahnersatz verzichtet. Durch 4 Implantate konnte durch festsitzend Vollkeramikbrücken ästhetisch und funktionell ein hervorragendes Ergebnis erzielt werden. Nur mit umfangreicher Vorarbeit ist ein solch überzeugendes Ergebnis zu erzielen. Über ein laborgefertigtes Provisorium wurde vor der Implantation Ästhetik und Funktion abgeklärt.
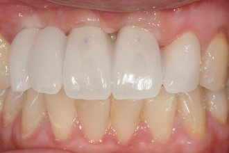
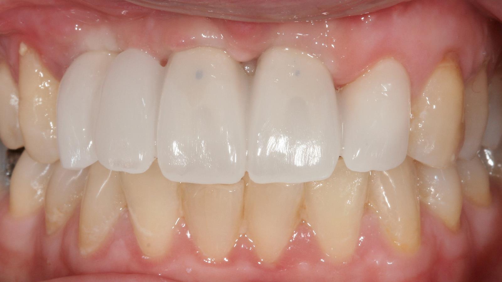
Fall 2 Vollkeramikbrücke auf drei Implantaten. Weil beim Eckzahn auch schon der Kieferkamm zurückgegangen war. steht das Implantat weiter innen.

