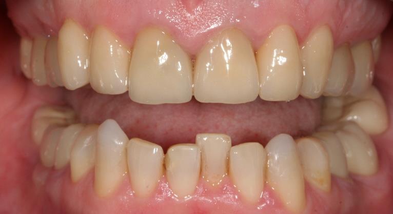
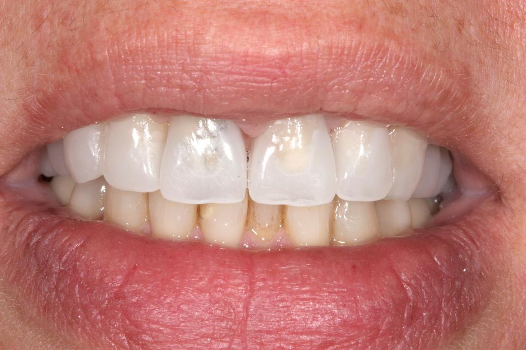
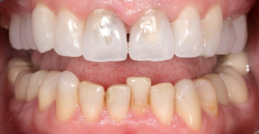
Anprobe mit gefrästem Kunststoffgerüst
Wir möchten gerne Ihre Krone möglichst perfekt herstellen. Dazu ist es notwendig, Form und Farbe präzise abzuklären. Über eine Kunststoffkrone, die einprobiert wird, kann der Zahnarzt Form und Passgenauigkeit (nicht die Farbe) kontrollieren und mit Farbmusterzähnen die Farbe bestimmen. Eventuelle Korrekturen können jetzt noch vorgenommen werden, ohne die fertige Krone zu beschleifen. Anschließend wird vom Techniker die Kunststoffkrone 1:1 in Keramik umgesetzt.

