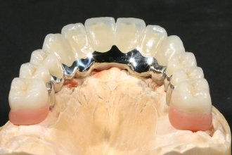
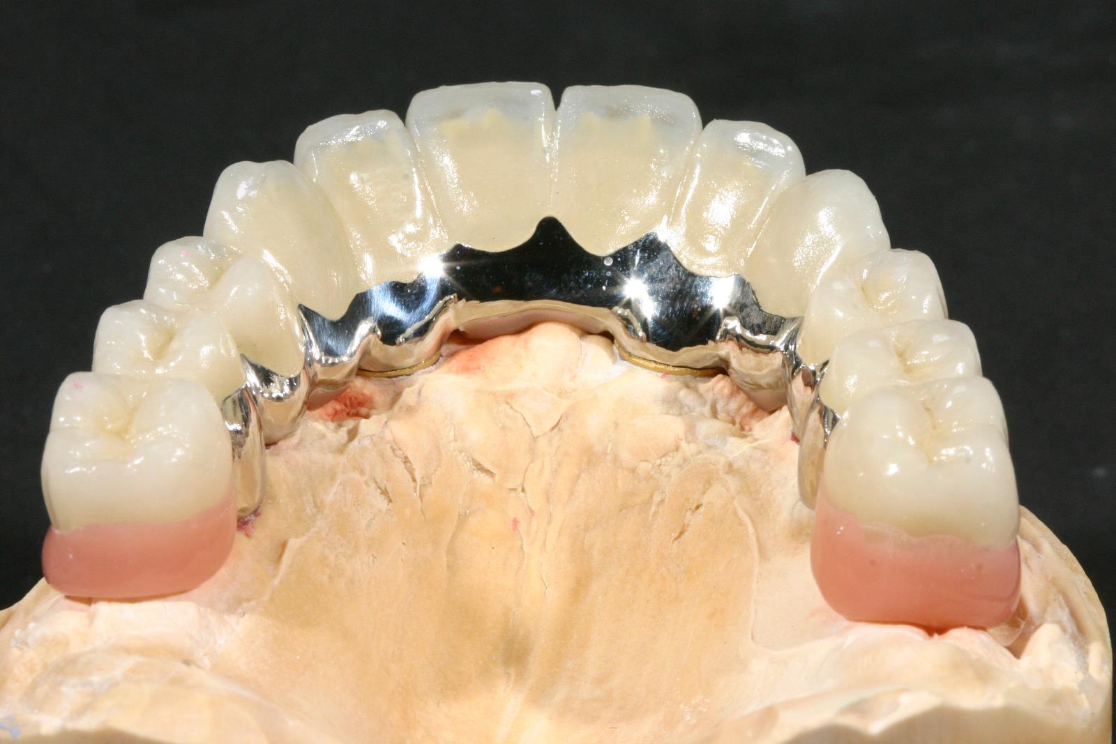
Teleskopbrücken auf Implantate mit Zahnfleischanteil
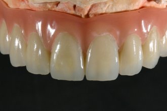
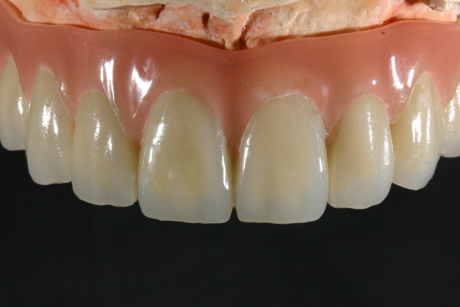
Bei längerer Zahnlosigkeit hat sich auch der Kieferkamm zurückgebildet. Die Implantate können dann nicht mehr an die Stelle der natürlichen Zähne implantiert werden. Außerdem wird der fehlende Kieferkamm durch künstliches Zahnfleisch ersetzt. Die Zähne können auch aus den hochästhetischen und langzeitstabilen Keramikverblendungen bestehen, wie es auch auf den Bildern links der Fall ist. Möglich ist auch der Ersatz durch konfektionierte Zähne. Durch eine konsequente Vorplanung lassen sich aber trotzdem funktionell stabile und ästhetische Ergebnisse erzielen. Der Tragekomfort ist vergleichbar mit einer festsitzenden Brücke.
Keramisch verblendete Teleskope: Über 25 jährige Erfahrung
Fotos zur Farbbestimmung, Gesichtsanalyse und Korrekturhilfe

