Vollkeramik
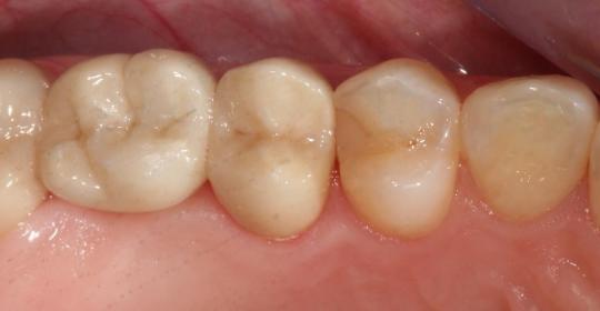
Die neue Generation der Vollkeramik hat sich mittlerweile seit 15 Jahren bewährt. Auch bei Brücken sind kaum Gerüstbrüche zu verzeichnen. Deshalb geben wir auch auf Vollkeramik 5 Jahre Garantie. Vollkeramikkronen und Brücken passen sich, einmal eingesetzt, fast unsichtbar der oralen Umgebung an und verhalten sich wie echte Zähne. Auch Implantate lassen sich mit Vollkeramik überkronen. Damit können unter Umständen herausnehmbare Prothesen vermieden werden.
Die gute Verträglichkeit erkennt man an dem schnellen Anschmiegen des Zahnfleischs an die neuen Kronen. Es sind keine toxischen Effekte von Zirkonium und seinen Verbindungen bekannt. Zirkonium soll zudem eine 100 %ige Biokompatibilität besitzen (damit noch höher als die von Titan). Es werden auch Implantate aus Zirkon hergestellt.
Bei der Restaurierung von Frontzähnen sind Fotos der Mundsituation sehr hilfreich. Die Farben lassen sich besser angleichen. Die Fotos können vom Praxispersonal gemacht werden, oder Sie kommen bei uns vorbei. Bei komplizierten Fällen besuchen wir Sie auch in die Praxis. Dieser Service ist kostenlos.

