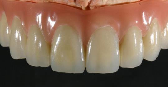
Teleskopierende Brücken
High End in der herausnehmbaren Prothetik. Sie sehen aus ,wie Metallkeramikbrücken und tragen sich auch so. Zum einfacheren Reinigen kann man sie aber aus dem Mund nehmen. Außerdem sind sie leicht zu reparieren, wenn ein Mißgeschick passiert. Bei Zahnverlust sind sie auch weiter zu verwenden. Sie haben auch unter ästhetischen Gesichtspunkten, dank unserer seit 30 Jahren bewährten keramischen Verblendung von Teleskopen ein hohes Niveau erreicht. Kaum ein anderes Labor ist in der Lage, Teleskope keramisch zu verblenden!
Durch Zahnimplantate lassen sich auch bei größeren Zahnverlusten wieder stabile Verhältnisse erzielen, die sich brückenartig versorgen lassen. Wenn aber der Knochen schon stark zurückgegangen ist und das Zahnfleisch fehlt, muß das durch zahnfarbenen Kunststoff ersetzt werden.

