Ästhetische Möglichkeiten - Brückenglieder in der Kombinationstechnik
Ist es möglich, herausnehmbaren Zahnersatz genauso ästhetisch zu gestalten, wie im Kronen und Brückenbereich und das zu einem annehmbaren Preis? Wir meinen ja.
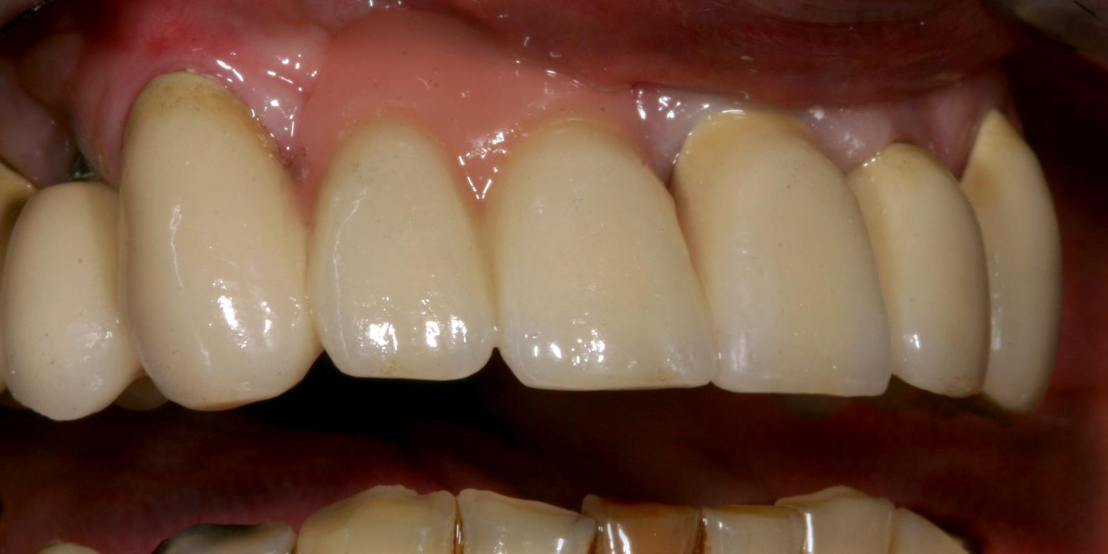
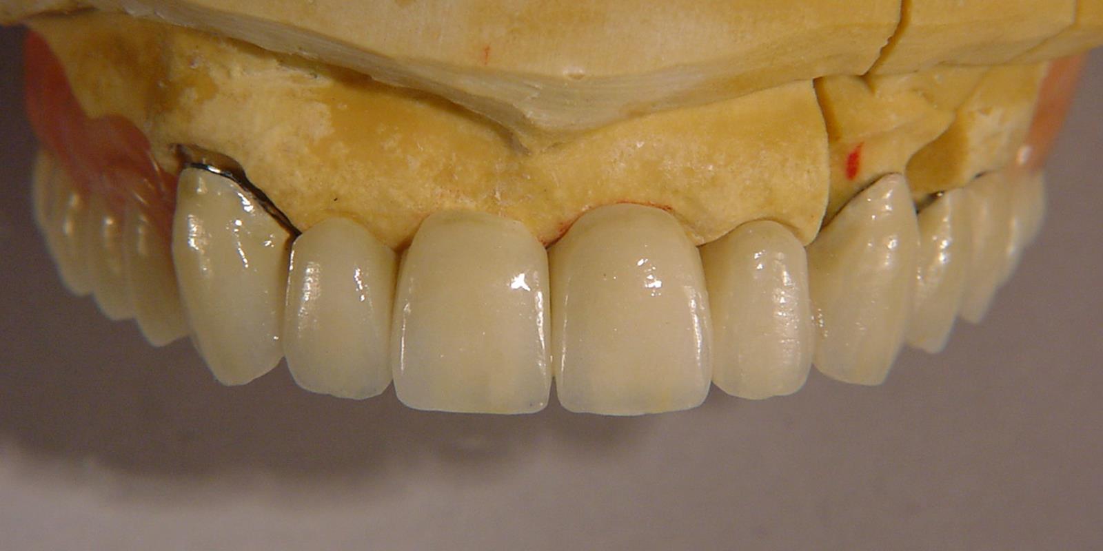
Durch die keramischen Verblendungen und der grazilen Gestaltung ohne störenden Bügel erreichen wir eine Ästhetik, die sich an festsitzenden Zahnersatz messen kann und einen hohen Tragekomfort beinhaltet. Wenn im Frontzahnbereich mit konfektionierten Zähnen versorgt werden muß, können immer leichte Farbunterschiede zu den verblendeten Teleskopkronen auffallen. Werden die konfektionierten Zähne durch verblendete Brückenglieder ersetzt, wirkt alles wie aus einem Guss.
Lassen Sie sich einen Kostenvoranschlag unterbreiten und entscheiden Sie sich dann!
Keramisch verblendete Teleskope: Über 25 jährige Erfahrung
Fotos zur Farbbestimmung, Gesichtsanalyse und Korrekturhilfe

