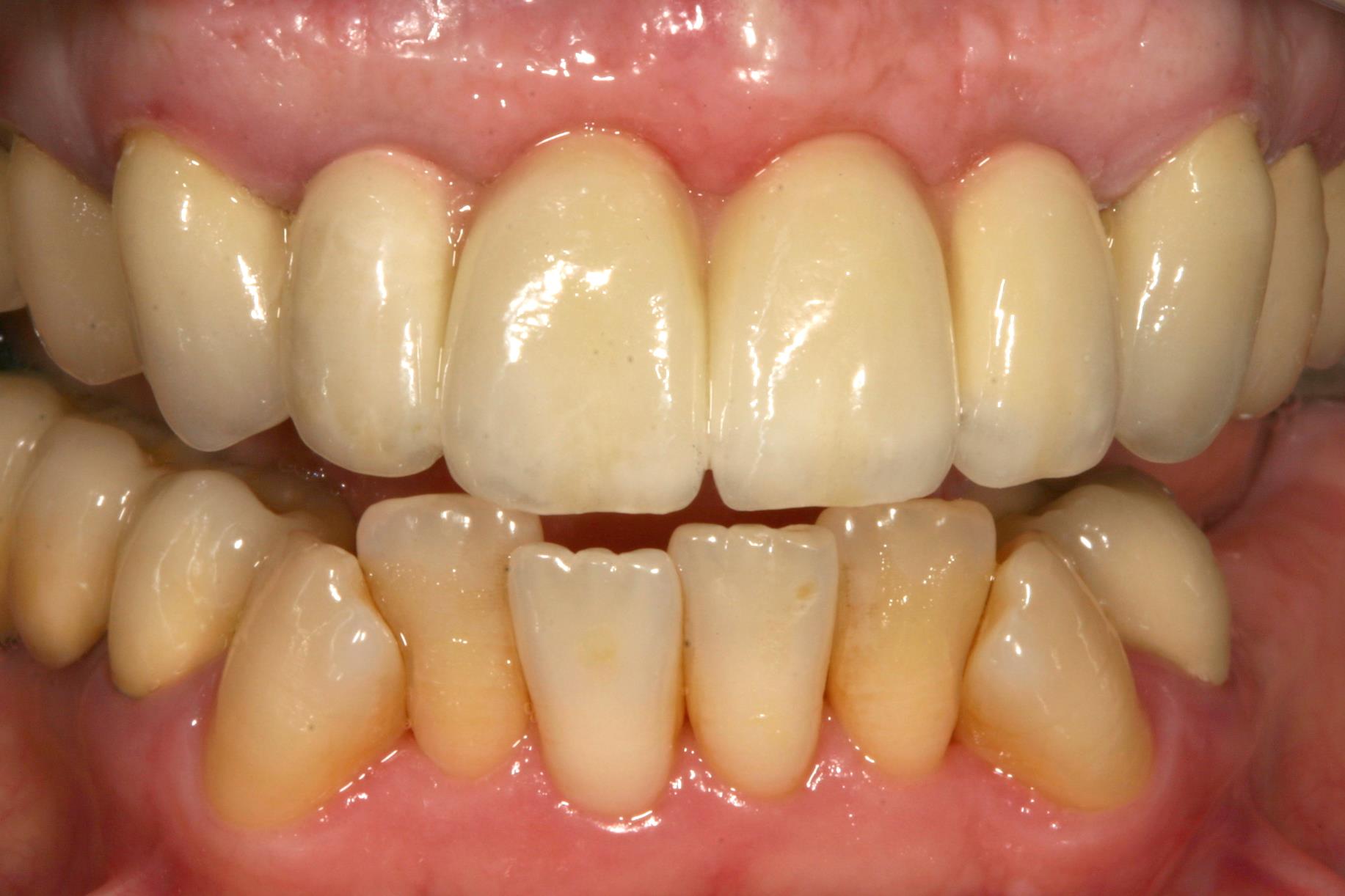
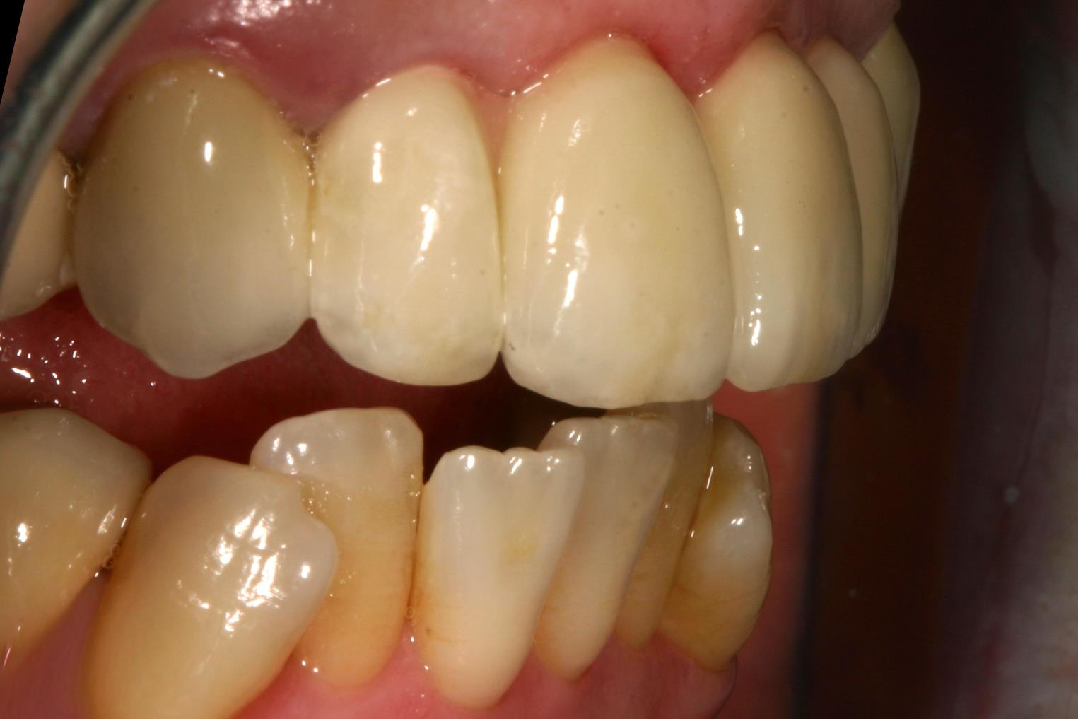
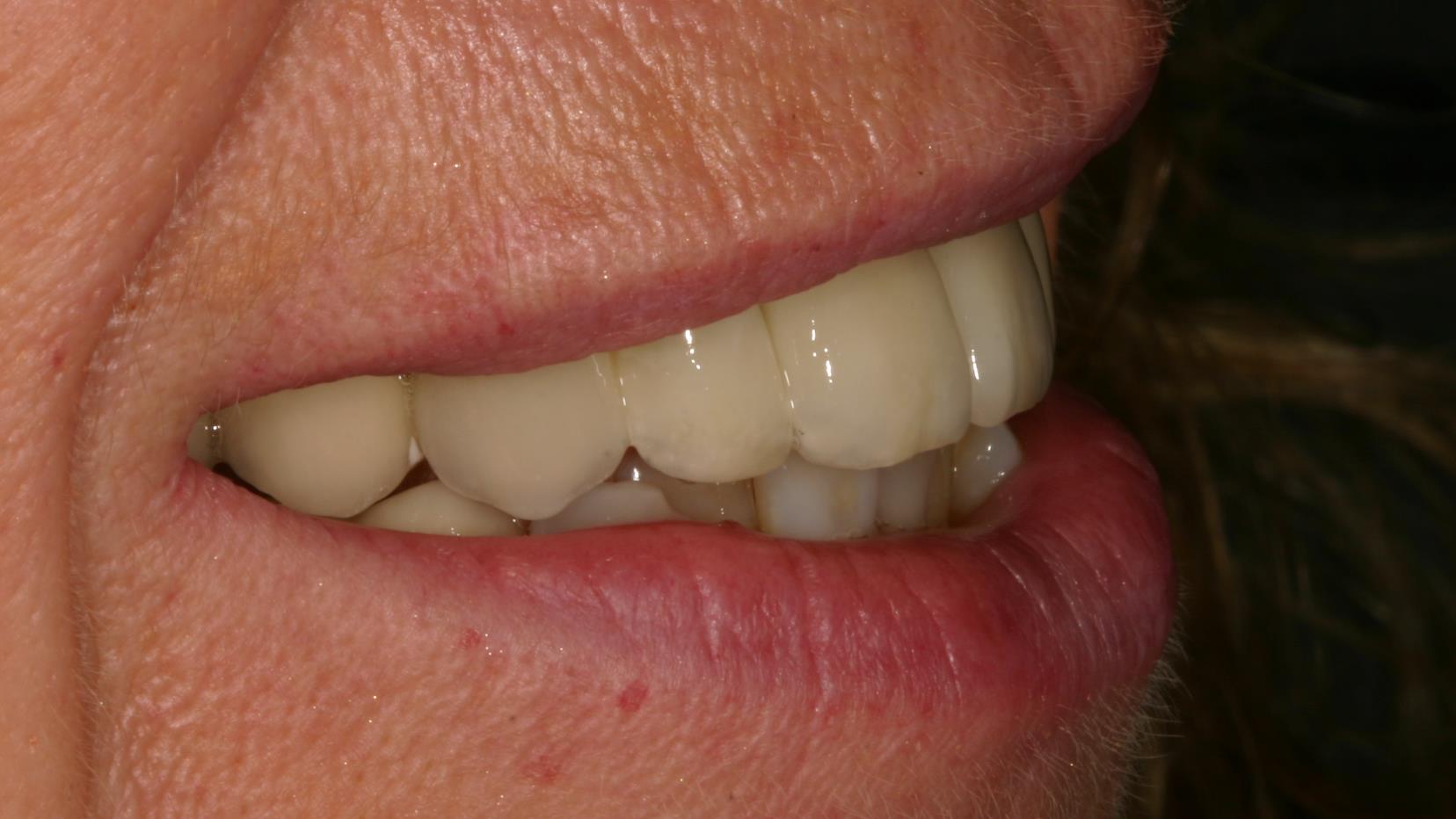
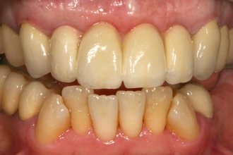
Metallkeramikbrückenglieder im Frontzahnbereich
Wenn mehrere Zähne im Frontzahnbereich fehlen, kann man die Lücke durch eine Brücke schließen. Meistens ist dann auch schon der Kieferkamm zurückgeschwunden. Dadurch wirken die Brückenglieder länger. Auch die Zahnfleischpapille fehlt. Hier haben wir sie mit rosa Keramik nachgebildet, um „dunkle Löcher“ zwischen den Zähnen zu vermeiden und die Zähne nicht unnatürlich breit und lang erscheinen zu lassen.
Vollkeramik kontra Metallkeramik
Fotos zur Farbbestimmung, Gesichtsanalyse und Korrekturhilfe

