go to content
Greiten Dentallabor GmbH&Co.KG

Prothetikkatalog.de

Teilkronen in Presskeramik und Gold

Eine substanzschonende Überkronung

Menu
K
:
:
 

| Registrierung

P
  • Home
  • Infos für Zahnärzte
    • Kronen und Brücken
      • Eierschalenpv
      • CAD CAM gefrästes PV
      • Kronen und Brücken aus Metall
      • Teilkronen
        • Inlays, Presskeramik- und Goldinlays
        • Teilkronen in Presskeramik und Gold
        • Veneer gemalt, Presskeramik
        • Veneer geschichtet verfärbter Zahn
        • Veneers geschichtet Presskeramik
        • Veneers geschichtet Presskeramik Kaschierung von Lücken
        • Keramikchip / Funktion: zum Aufbau der Eckzahnführung
      • Metallkeramik
        • Metallkeramikkronen
        • Metallkeramikkr. auf Implantat
        • Metallkeramikbrücken als Kassenlösung
        • Metallkeramikbrückenglieder im Frontzahnbereich
        • Metallkeramikkrone auf einteiligem Implantat
        • Seitenzahnbrücke auf Implantat mit einem individuellen Aufbau
        • Metallkeramikbrücken mit Teilungsgeschiebe
      • Vollkeramik
        • Presskeramikkrone gemalt
        • Presskeramikkronen geschichtet E-max
        • Anprobe mit gefrästem Kunststoffgerüst
        • Zirkonkronen im Frontzahnbereich
        • Vollkeramikkronen Front auf Implantat
        • Vollkeramikbrücken verblendet
        • Vollkeramikbrücken auf Implantaten
        • Umfangreiche Versorgung mit Vollkeramik
        • Vollkeramik und Marylandbrücke
        • Vollzirkonkrone
        • Offener Schraubkanal
        • Keramikbrücken mit Zahnfleisch
    • Herausnehmbarer Zahnersatz
      • Teleskopvarianten
      • Teleskopvarianten auf Implantaten
      • Friktionsverbesserung
      • Zirkonprimärteile - ästhetischer und kratzfest
      • Keramisch verblendete Teleskope: Erfahrungen seit 1990
      • Teleskopierende Brücken
        • Teleskopbrücken auf natürlichen Pfeiler
        • Telebrücke mit Pfeilervermehrung
        • Teleskopbrücken auf Implantate
        • Teleskopbrücken auf Implantate mit Gingivaanteil
      • Teleskopierende Prothesen
        • Bügellose Teleskopprothesen
        • Cover Denture / Preiswerte Teleskopprothesen
        • Verbesserte Abstützung, mehr Komfort, Langlebiger durch Implantate
        • Ästhetische Möglichkeiten - Brückenglieder in der Kombinationstechnik
        • Ankerbandklammer
        • Implantatgetragene Vollprothese
        • Tele mit Klammern
        • Teleskop mit Knopfanker
        • Reiseprothese
      • Stege, Geschiebe
        • Kugelkopfanker auf Implantaten
        • Kombinierte mit Geschieben
        • Kombinierte mit konfektioniertem Riegel
        • Individuelle Stege
        • Novaloc
      • Klammermodellguß
    • Infos / Arbeitsanleitungen
      • Info Veneerplanung
      • Info Präp und Befestigung von Presskeramik
      • Einsetzen von Presskeramikkronen und Veneers e.max
      • Vollkeramik versus Metallkeramik
      • Info Präp und Befestigung Zirkon
      • Info Funktion Refuwachsanprobe, Kunststoffaufbiss
      • CAD – CAM gefräste Teleskope
      • Der Weg zur passenden Teleskopprothese
      • Kurzanleitung Telebrücke
      • Kurzanleitung Kombinierte mit Implantaten
      • Bohrschablone
      • Einsetzhilfen Implantataufbauten
      • Farbnahme
      • Fotos zur Farbbestimmung, Gesichtsanalyse und Korrekturhilfe
      • Okklusionsausgleich
      • Teleskop abgebrochen – was tuen
    • Kunststoff/Sonstiges
      • Schnarcherschiene
      • Namensschild in Prothese
      • Aufbissschiene
  • Infos für Patienten
    • Kronen und Brücken
      • CAD CAM gefrästes PV
      • Kronen und Brücken aus Metall
      • Teilkronen
        • Inlays Presskeramik und Goldinlays
        • Teilkronen in Presskeramik und Gold
        • Veneer gemalt – Presskeramik
        • Veneer geschichtet verfärbter Zahn
        • Veneers geschichtet Presskeramik zur Kaschierung parodontaler Probleme
        • Veneers geschichtet Presskeramik Kaschierung von Lücken
        • Keramikchip - Funktion - zum Aufbau der Eckzahnführung
      • Metallkeramik
        • Metallkeramikkronen
        • Metallkeramikkronen auf Implantat
        • Metallkeramikbrücken als Kassenlösung
        • Metallkeramikbrückenglieder im Frontzahnbereich
        • Metallkeramikkrone auf einteiligem Implantat
        • Seitenzahnbrücke auf Implantaten mit einem individuellen Aufbau
        • Metallkeramikbrücken mit Teilungsgeschiebe
      • Vollkeramik
        • Presskeramikrone gemalt
        • Presskeramikkronen geschichtet E-max
        • Anprobe mit gefrästem Kunststoffgerüst
        • Zirkonkronen im Frontzahnbereich
        • Vollkeramikkronen Front auf Implantat
        • Vollkeramikbrücken verblendet
        • Vollkeramikbrücken auf Implantaten
        • Umfangreiche Versorgung mit Vollkeramik
        • Vollkeramik und Marylandbrücke
        • Vollzirkonkrone
        • Offener Schraubkanal
        • Keramikbrücken mit Zahnfleisch
    • Herausnehmbarer Zahnersatz
      • Teleskopvarianten
      • Teleskopvarianten auf Implantaten
      • CAD – CAM gefräste Teleskope
      • Zirkonprimärteile - ästhetischer und kratzfest
      • Galvanisieren alter Teleskopprothesen
      • Keramisch verblendete Teleskope: Über 25 jährige Erfahrung
      • Teleskopierende Brücken
        • Teleskopbrücken auf natürlichen Pfeiler
        • Telebrücke mit Pfeilervermehrung
        • Telekopierende Brücke auf Implantaten
        • Teleskopbrücken auf Implantate mit Gingivaanteil
      • Teleskopierende Prothesen
        • Bügellose Teleskopprothesen
        • Implantatgetragene Vollprothese
        • Cover Denture / Preiswerte Teleskopprothesen
        • Verbesserte Abstützung, mehr Komfort, Langlebiger durch Implantate
        • Ästhetische Möglichkeiten - Brückenglieder in der Kombinationstechnik
        • Ankerbandklammer
        • Tele mit Klammern
        • Reiseprothese
      • Stege, Locatoren, Geschiebe
        • Kombinierte mit Geschieben
        • Kombinierte mit konfektioniertem Riegel
        • Stege
        • Novaloc
      • Klammermodellguß
    • Info
      • Info Veneerplanung
      • Vollkeramik kontra Metallkeramik
      • Fotos zur Farbbestimmung, Gesichtsanalyse und Korrekturhilfe
      • Aufbissschiene
    • Kunststoff/Sonstiges
      • Okklusionsausgleich bei neuem Zahnersatz
      • Schnarcherschiene
      • Namensschild in Prothese
  • Kontakt
Start » Infos für Patienten » Kronen und Brücken » Teilkronen » Teilkronen in Presskeramik und Gold

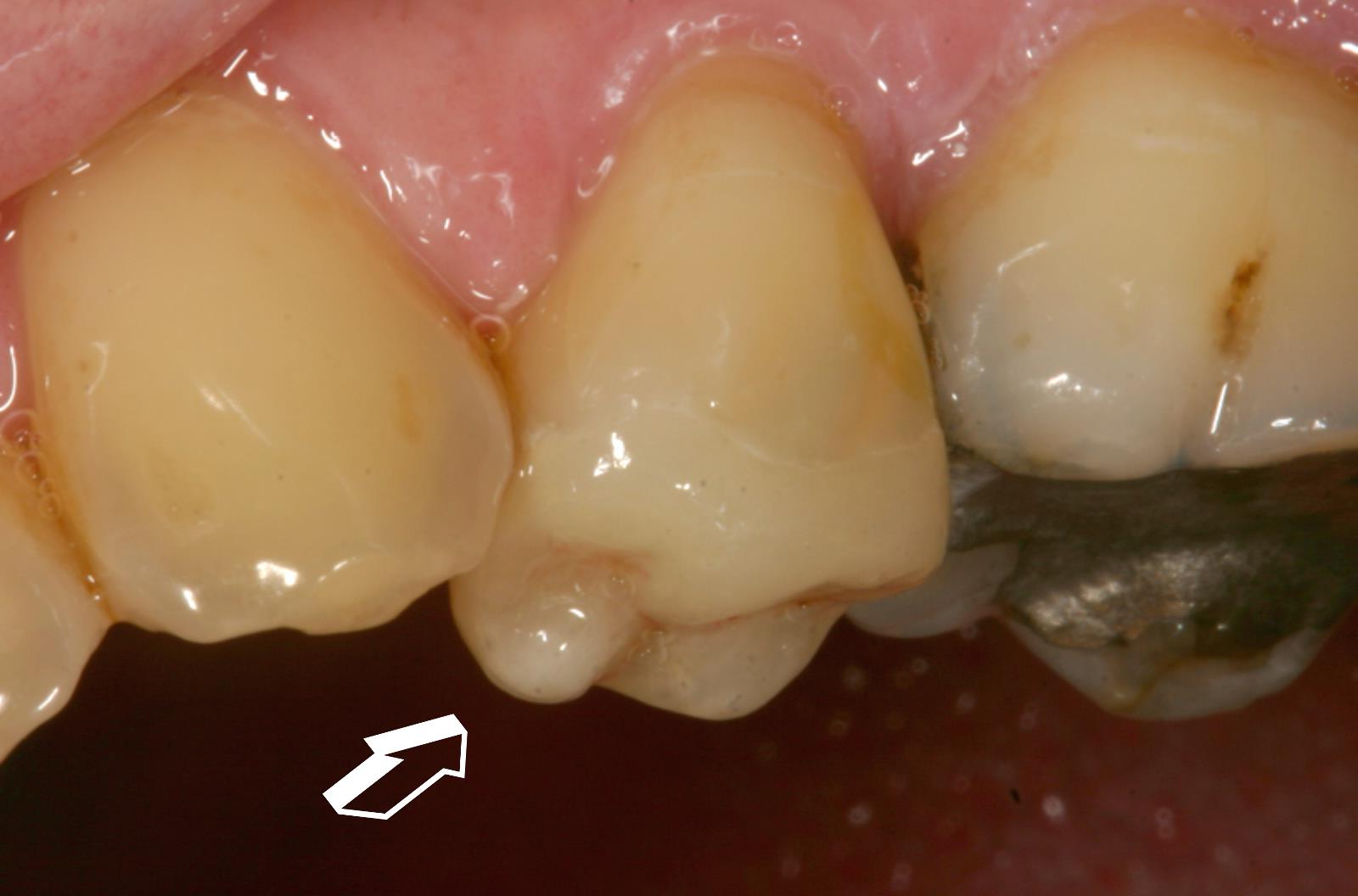
Inlay in Gold, Teilkronen in Presskeramik

  • Teilkrone auf dem Modell durchleuchtet.
  • Presskeramik Teilkrone mit Chamäleon Effekt
  • Inlay aus einer Goldlegierung, Teilkrone in Presskeramik

Teilkronen in Presskeramik und Gold

Wenn einZahn nur an der Kaufläche geschädigt ist, kann der Zahn nur zum Teil überkront werden. Es wird mehr natürliche Substanz erhalten. Teilkronen aus Keramik sind eingesetzt fast unsichtbar.