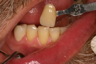
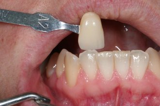
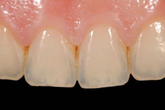
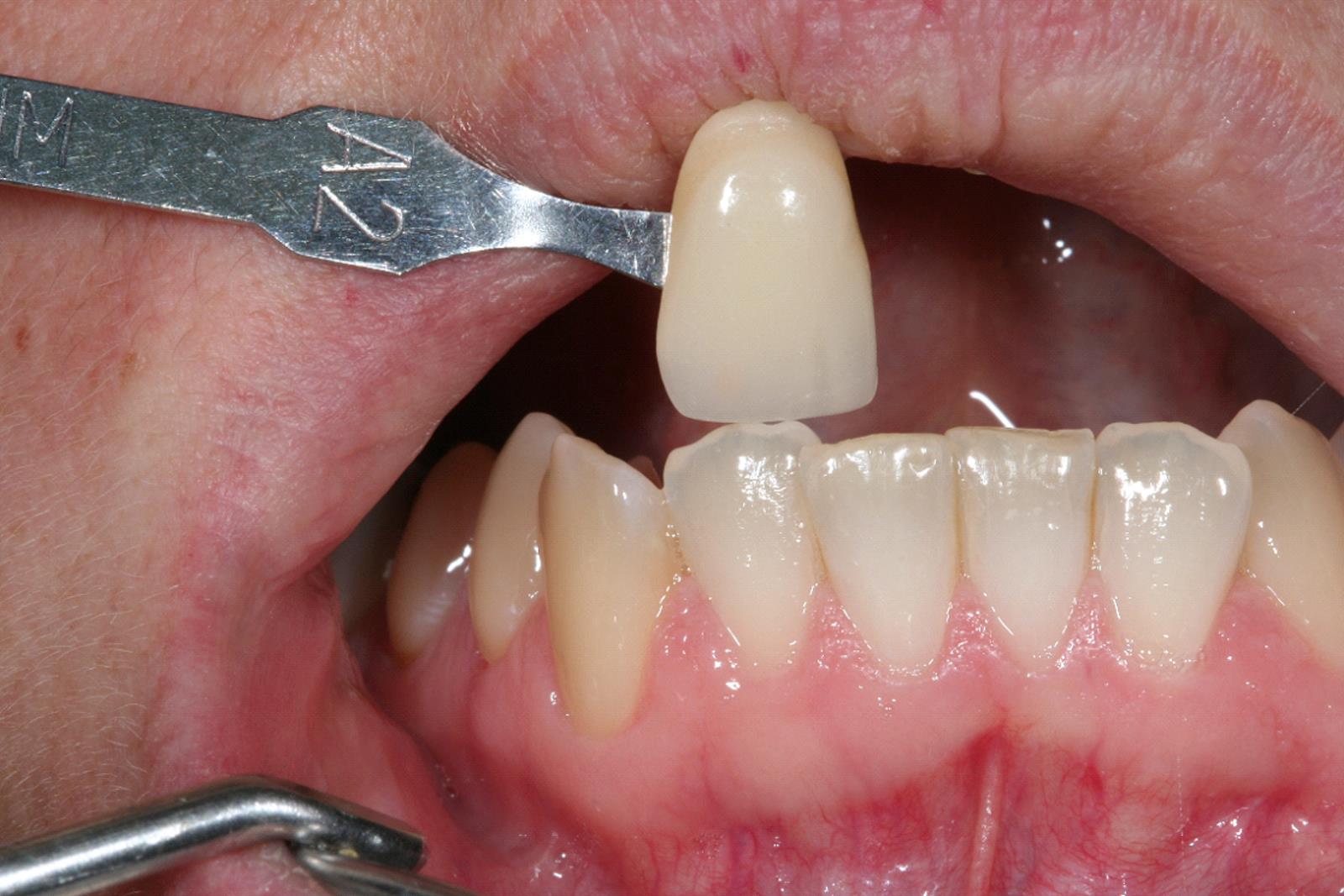
Fotos zur Farbbestimmung, Gesichtsanalyse und Korrekturhilfe
Bei der Farbnahme ist es sehr hilfreich, ein Foto von den natürlichen Zähnen und einem Fabmusterzahn zu erstellen. Abweichungen lassen sich daran besser erkennen. Auch bei der Anprobe des Zahnersatzes können so mit dem Foto das Aussehen und Änderungswünsche dokumentiert und für das Labor sichtbar gemacht werden, Verbesserungsmaßnahmen besser umgesetzt und mit Hilfe des Computers analysiert und kontrolliert werden.

