Vollkeramik und Marylandbrücke
Vollkeramik und Marylandbrücke
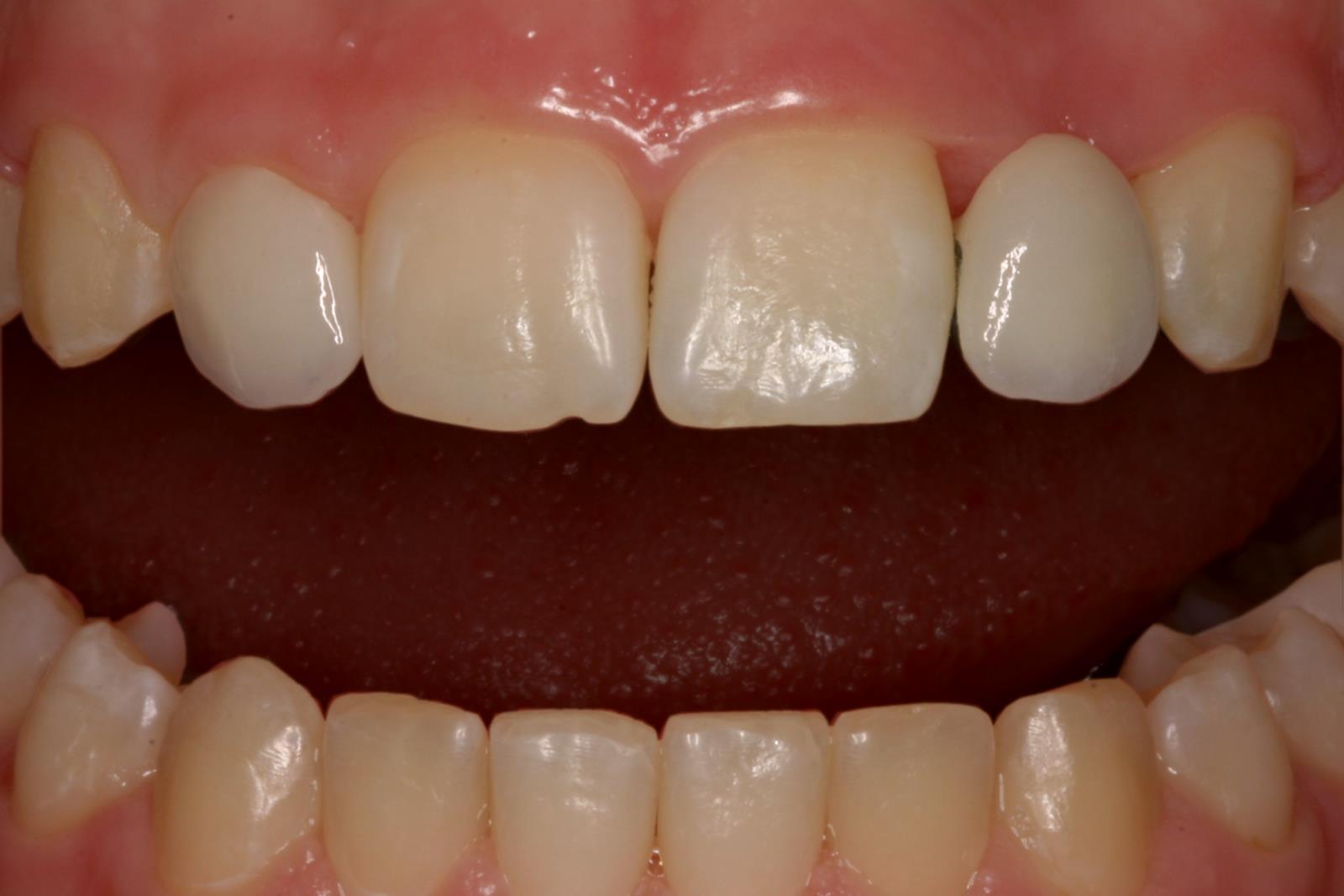
Eine noch recht junge Patientin hatte den den rechten kleinen Schneidezahn als Zapfenzahn ausgebildet und eine Nichtanlage des linken kleinen Schneidezahns. Auf dem rechten fertigten wir ein Veener. Die Lücke wurde als Langzeitprovisorium mit einer Marylandbrücke aus NEM versorgt.
Marylandbrücken aus Vollkeramik sind nicht empfehlenswert, da die aufliegenden Flügel sehr dünn sind und ein Bruch nicht auszuschließen ist. Aufgrund der Kontaktsituation mit den Gegenzähnen und weil wir nichts einschleifen wollten, haben wir die Flügel der Marylandbrücke perforiert.

