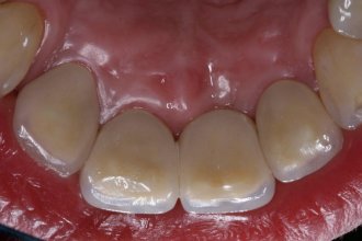
Vollkeramikkronen Front auf Implantat
Auch auf Implantaten lassen sich Vollkeramikkronen herstellen. Unter einem Brückenglied kann der Kieferkamm weiter zurückschwinden. Die Folge ist ein unschöner Spalt zwischen Brückenglied und Kieferkamm. Durch ein Implantat bleibt der Kieferkamm erhalten und die Vollkeramikkrone ist kaum von einem natürlichen Zahn zu unterscheiden. Ein ästhetisches und langlebiges Ergebnis, das sich harmonisch eingliedert.
Fotos zur Farbbestimmung, Gesichtsanalyse und Korrekturhilfe

