Ankerbandklammer
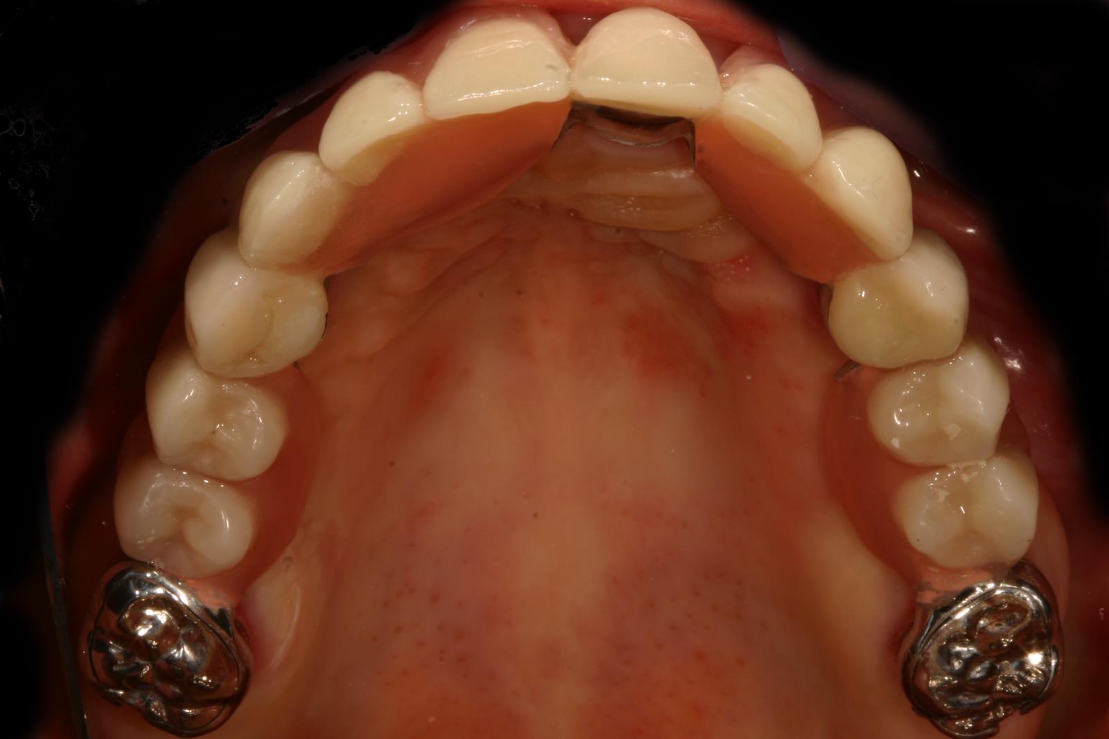
Ein preiswerter Ersatz für Teleskope im hinteren Backenzahnbereich sind Ankerbandklammern. Sie können stützen und haben Haltekraft. Sie sind aber nicht so präzise gearbeitet, wie ein Teleskop und immer unverblendet. In diesem Fall wurden zwei Implantate gesetzt. Wir haben dadurch eine optimale Pfeilerverteilung und konnten eine brückenartige Konstruktion herstellen.
Keramisch verblendete Teleskope: Über 25 jährige Erfahrung
Fotos zur Farbbestimmung, Gesichtsanalyse und Korrekturhilfe

