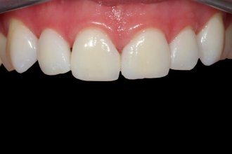
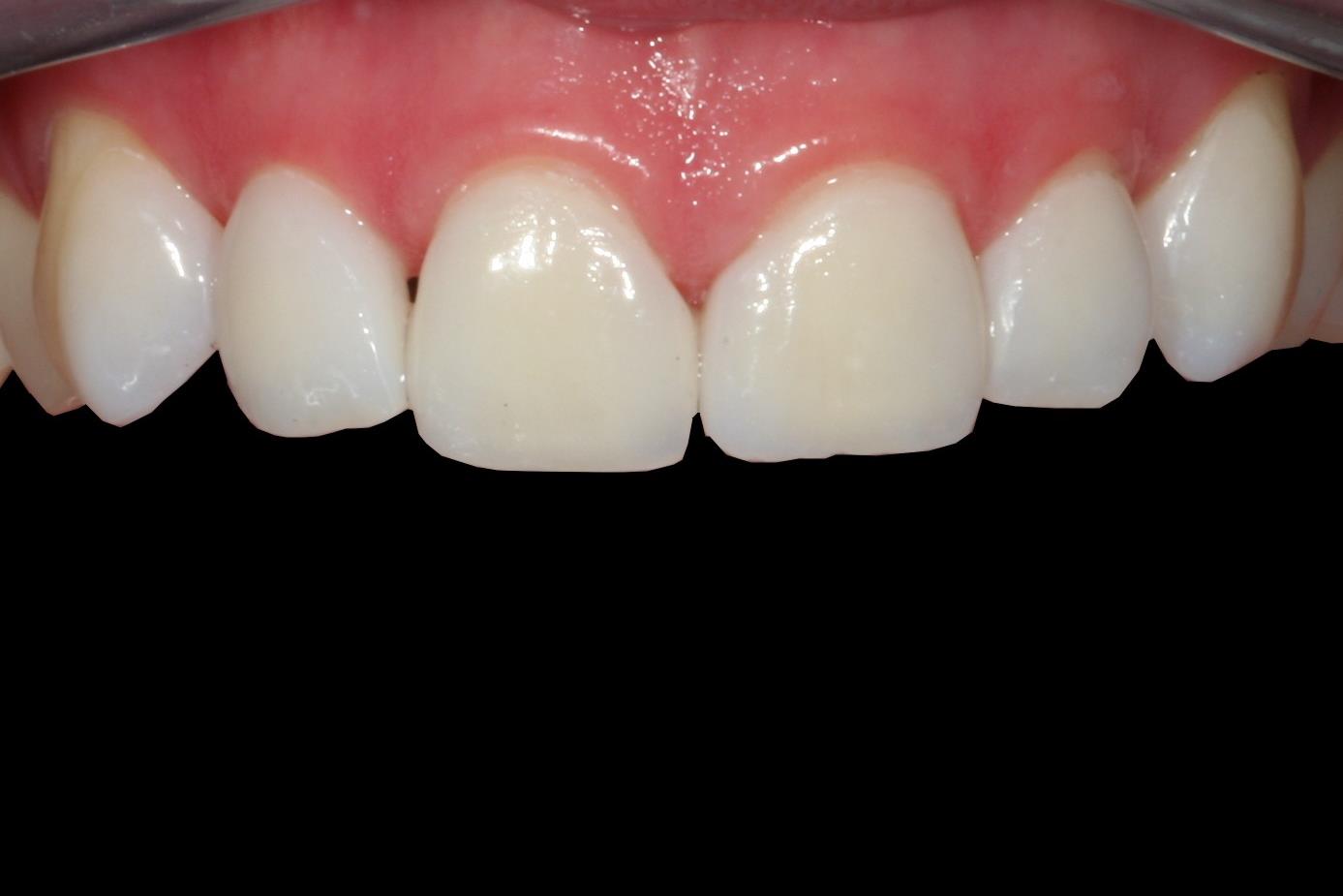
Veneers geschichtet Presskeramik Kaschierung von Lücken
Die lückig stehenden Zähne gefielen dem Patienten nicht. Außerdem wünschte er sich eine hellere Zahnfarbe. Um die breiten Lücken optisch gut schließen zu können, haben wir die Eckzähne miteinbezogen., obwohl sie unbeschliffen waren.
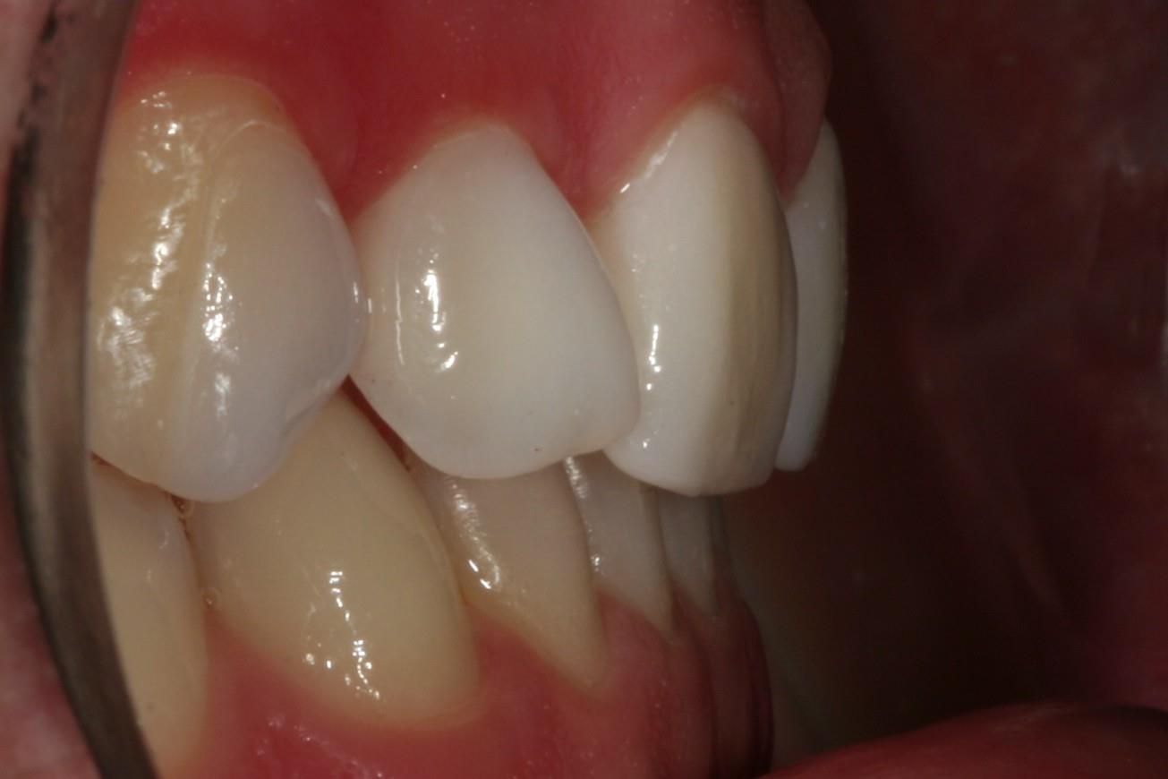
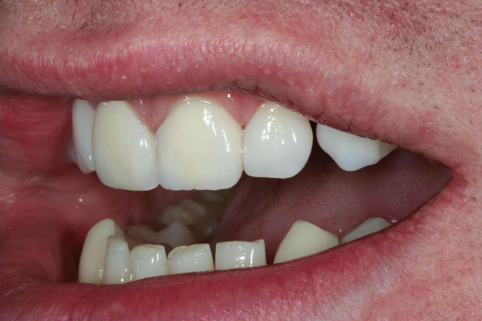
Fotos zur Farbbestimmung, Gesichtsanalyse und Korrekturhilfe

