Teleskopvarianten
Teleskopvarianten
Teleskopvarianten
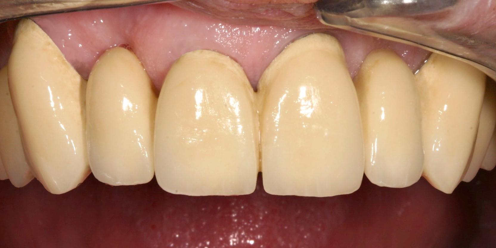
Teleskope aus NEM keramischverblendet, hier wie eine abnehmbare Brücke gestaltet. Teleskope sind Doppelkronen. Die erste Krone (Primärteil) ist außen rundrum parallel gefräst und fest auf dem Zahnstumpf aufzementiert. Die zweite Krone (Sekundärteil) kann über die erste Krone geschoben werden. Durch den Reibewiederstand der beiden Kronen hält die Prothese im Mund. durch ziehen mit beiden Händen an den Zahnreihen der Prothese lässt sich die Prothese lösen und zum Reingen herausnehmen. Um die verbleibenden ersten Kronen (Primärteile) lässt sich dann sehr gut putzen. Auch eventuelle Reparaturen am Zahnersatz können gut außerhalb des Mundes erledigt werden.
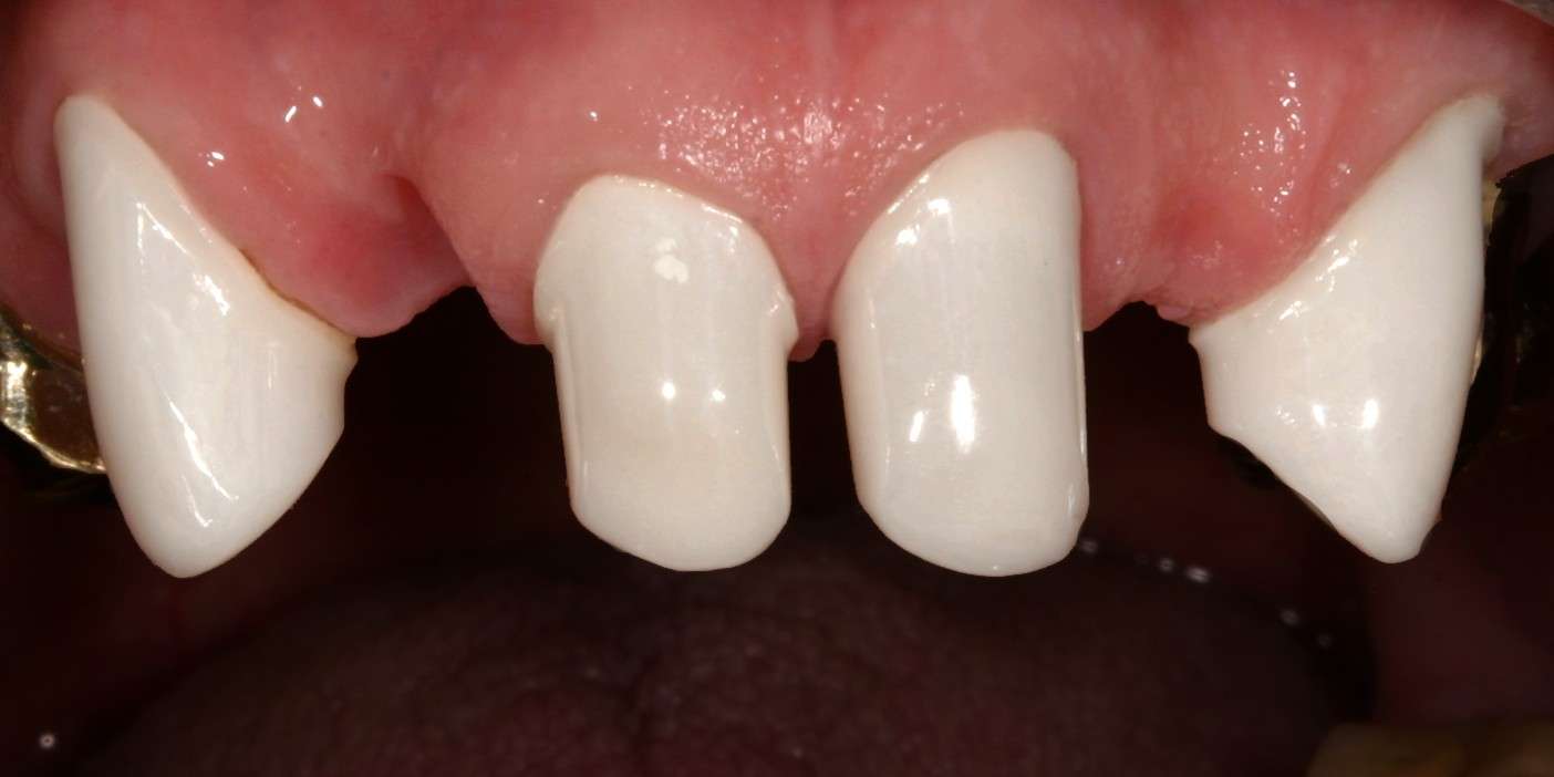
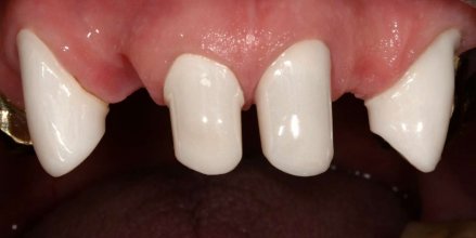
Zirkonprimärteile sind weiß und extrem hart. Dadurch sind die Oberflächen sehr glatt und die abnehmbare Prothese kann sehr gut gehändelt und ausgegliedert werden.

