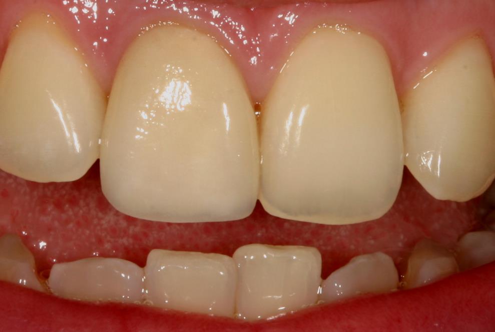
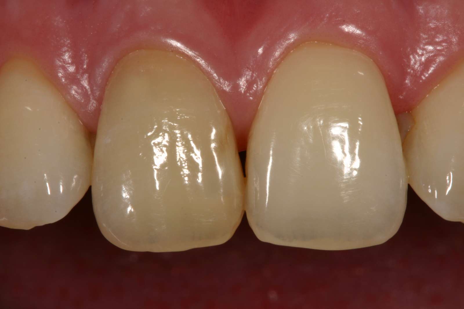
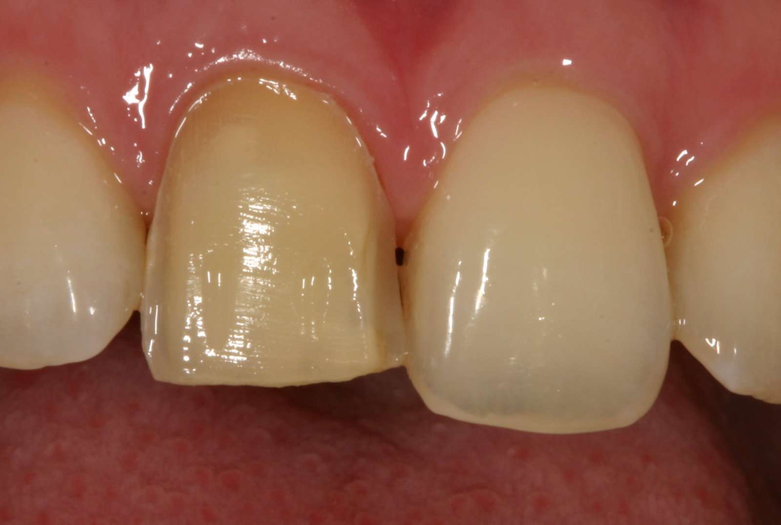
Veneer geschichtet verfärbter Zahn
Es ist nicht einfach, einen verfärbten Schneidezahn mit einer Keramikschale (Veneer) zu versorgen. Bei stark verfärbten Zähnen ist ein besseres Ergebnis mit Keramikkronen zu erzielen. In diesem Fall war die Verfärbung nicht so dramatisch. Bei geschichteten Veneers wird mit verschiedenfarbigen Keramiken die Keramikschale aufgebaut. Sie lässt sich so noch besser anpassen.
Fotos zur Farbbestimmung, Gesichtsanalyse und Korrekturhilfe

