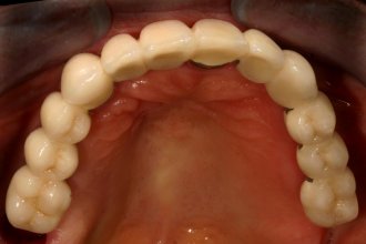
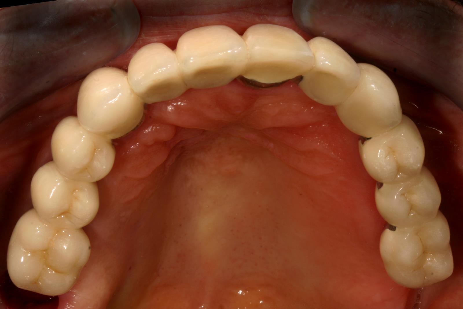
Telekopierende Brücke auf Implantaten
Auch bei Zahnlosigkeit kann ein festsitzender Zahnersatz gefertigt werden. Er sollte aber zwecks besserer Reinigung abnehmbar sein. Wenn der Kieferkamm nicht schon geschwunden ist, lässt sich die Prothese wie eine festsitzende Brücke auf Implantaten verankern.
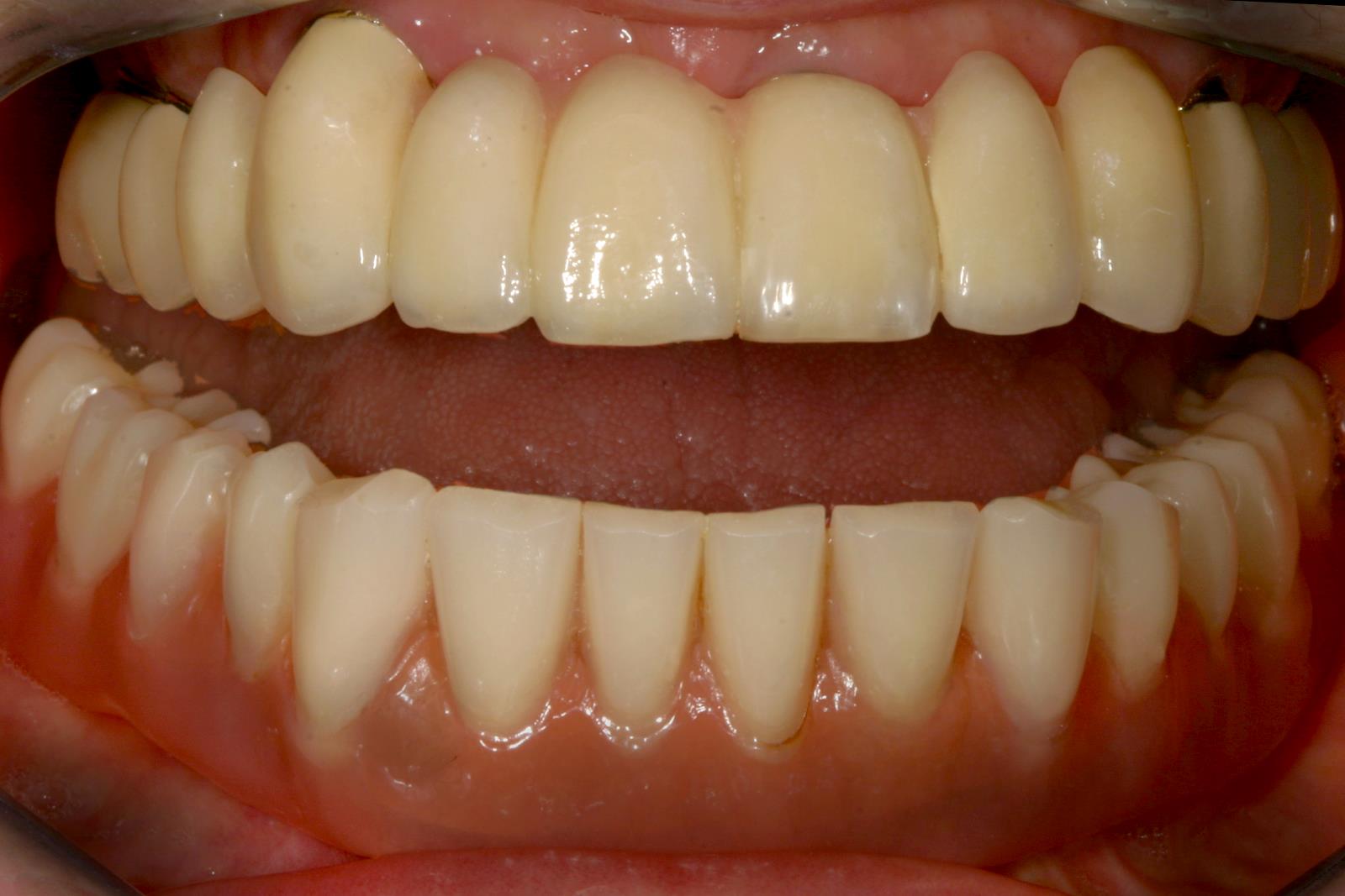
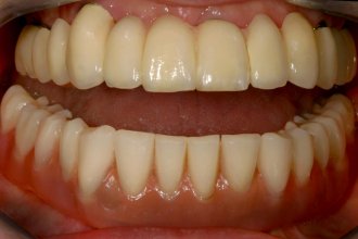
Keramisch verblendete Teleskope: Über 25 jährige Erfahrung
Fotos zur Farbbestimmung, Gesichtsanalyse und Korrekturhilfe

