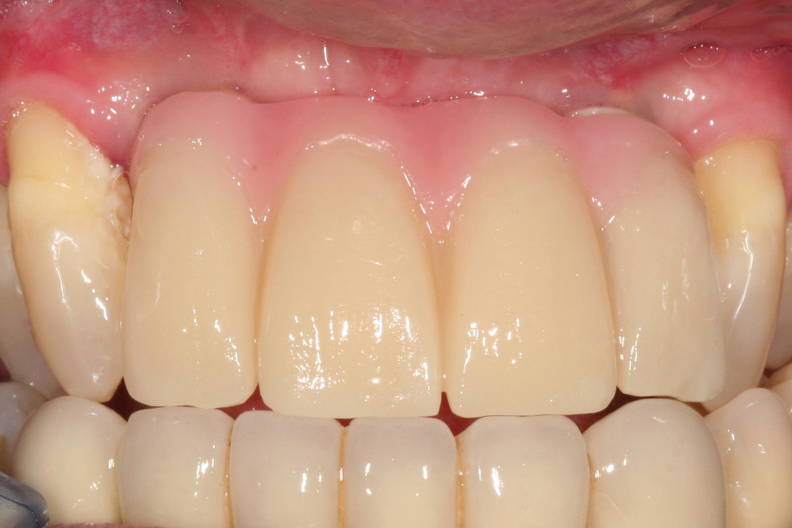
Keramikbrücken mit Zahnfleisch
Bei stark zurück geschwundenen Kiefer würden die Zähne der Keramikbrücke sehr lang und nicht natürlich wirken. Wir kaschieren durch Anbrennen von rosa Keramik. Im abgebildeten Fall wurden die Schneidezähne entfernt und im Bereich der kleinen Schneidezähne Implantate gesetzt.
Fotos zur Farbbestimmung, Gesichtsanalyse und Korrekturhilfe

