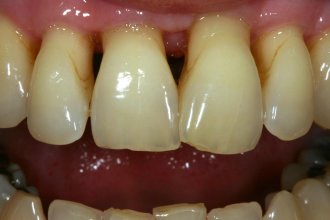
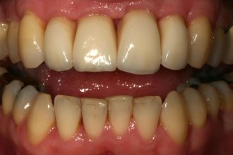
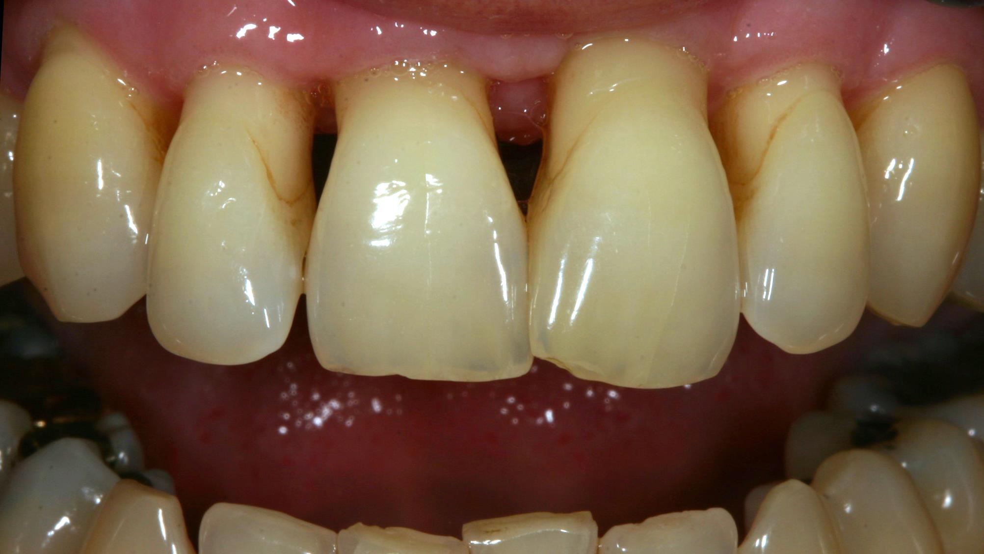
Veneers geschichtet Presskeramik zur Kaschierung parodontaler Probleme
Wenn das Zahnfleisch stark zurückgegangen ist, bilden sich zwischen den Zähnen „Schwarze Löcher“. Mit Veneers (Keramikschalen) lassen sich die Lücken schließen und die Farbe der Zähne aufhellen. Die Zähne müssen nur minimal beschliffen werden. Die Zahnstellung der Pat. haben wir abgeschwächt nachgeahmt, um sie nicht zu stark zu verändern. Wir hatten die Form und Stellung der Zähne mit der Patientin über ein Mockup (Simulation des Ergebnisses mit Kunststoffschalen) abgeklärt. Eine gute Vorplanung ist für ein vorhersagbares Ergebnis wichtig.
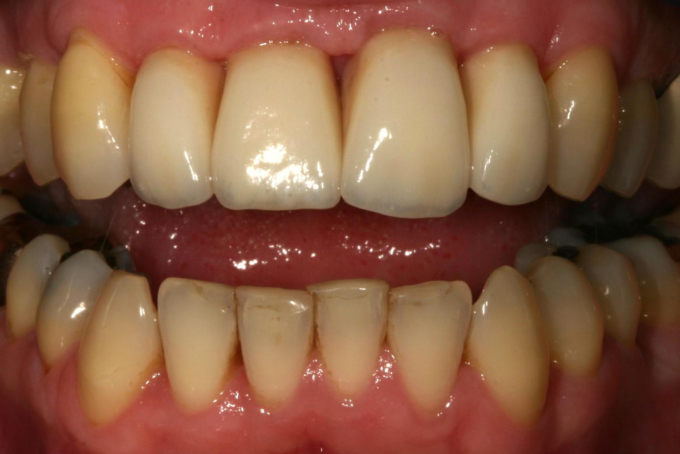
Fotos zur Farbbestimmung, Gesichtsanalyse und Korrekturhilfe

