Bemalte Keramikschale (Veneer) aus Presskeramik.
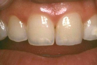
Dünne Schale aus Keramik, die vor den sparsam beschliffenen Zahn geklebt wird. Möglich sind komplette Farbänderungen der Frontzähne oder wie in diesem Fall einen Ausbruch an der Schneidekante zu kaschieren. Die dünne Keramikschale besteht aus einer zahnfarbenen transparenten Keramik, die an der Oberfläche mit eingebrannten Keramikmalfarben und einer Glasur angepasst wird.
Fotos zur Farbbestimmung, Gesichtsanalyse und Korrekturhilfe

