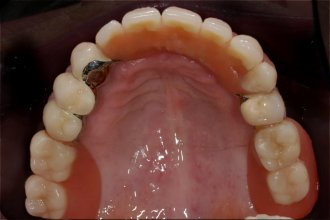
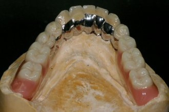
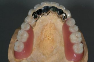
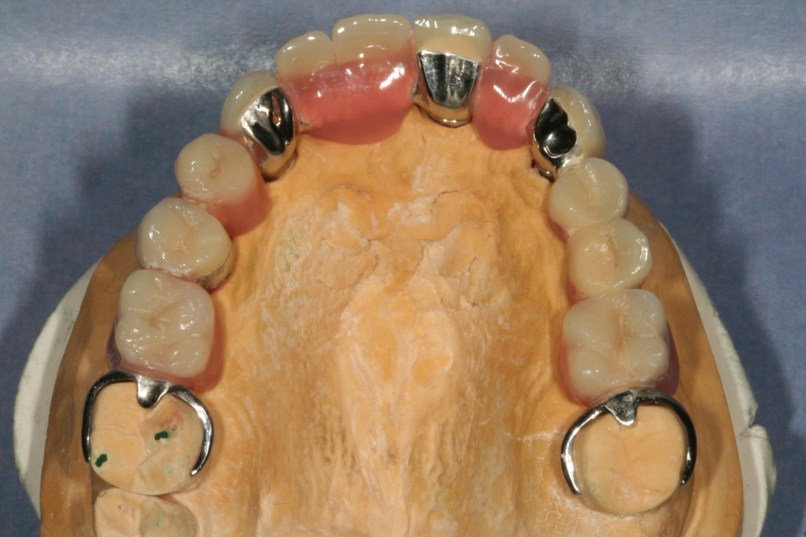
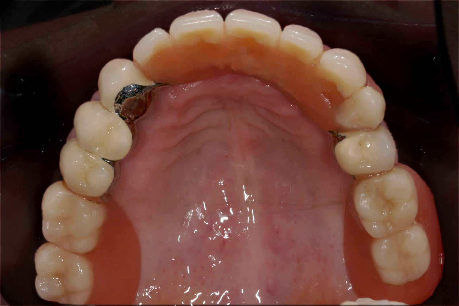
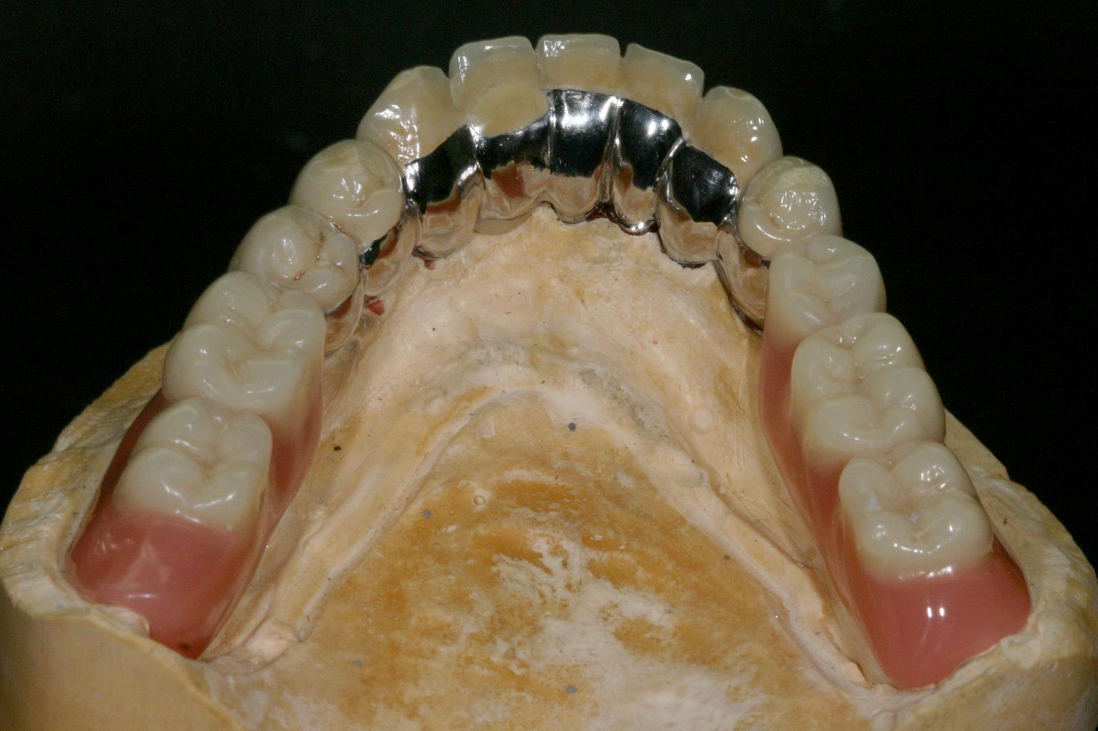
Bügellose Teleskopprothesen
Bügellose Teleskopprothesen sind komfortabel und angenehm. Bei Zahnlücken im Frontzahnbereich sind Brückenglieder mit Verblendungen aus ästhetischer Sicht von Vorteil. Es können sonst leichte Unterschiede zwischen den konfektionierten Ersatzzähnen und den Verblendungen entstehen. Auch hier besteht die Möglichkeit, die Verblendungen aus Keramik herzustellen.
Die Kunststoffsättel halten wir möglichst schmal. Sind nur wenige Zähne vorhandenen die mit Teleskopen die Prothese stützen können, muß die Auflage auf dem Kieferkamm breitflächiger gestaltet werden, damit die Kaukraft besser abgefangen wird. Eine Kombination mit Klammern im Backenzahnbereich ist aus Kostengründen möglich.
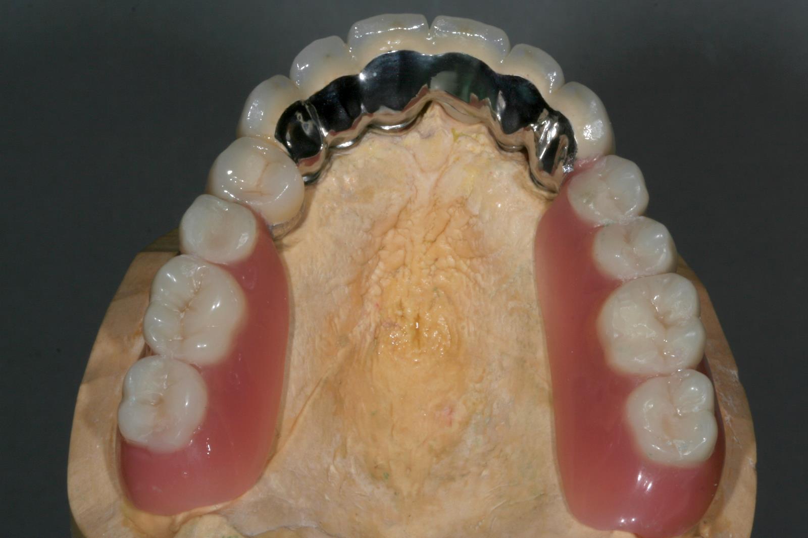
Keramisch verblendete Teleskope: Über 25 jährige Erfahrung
Fotos zur Farbbestimmung, Gesichtsanalyse und Korrekturhilfe

