Implantatgetragene Vollprothese
Auch bei Zahnlosigkeit kann durch Implantate „feste Zähne“ erreicht werden. Allerdings muß der Kiefer für die Implantate tragfähig sein. Die Ersatzzähne sind aus Kunststoff und konfektioniert. Gegenüber teleskopierender Brücken ist das deutlich preiswerter, Der Kunststoffanteil unterliegt aber auch eher einen Alterungsprozess, könne dann aber nach 10 - 15 Jahren auch ausgetauscht werden.
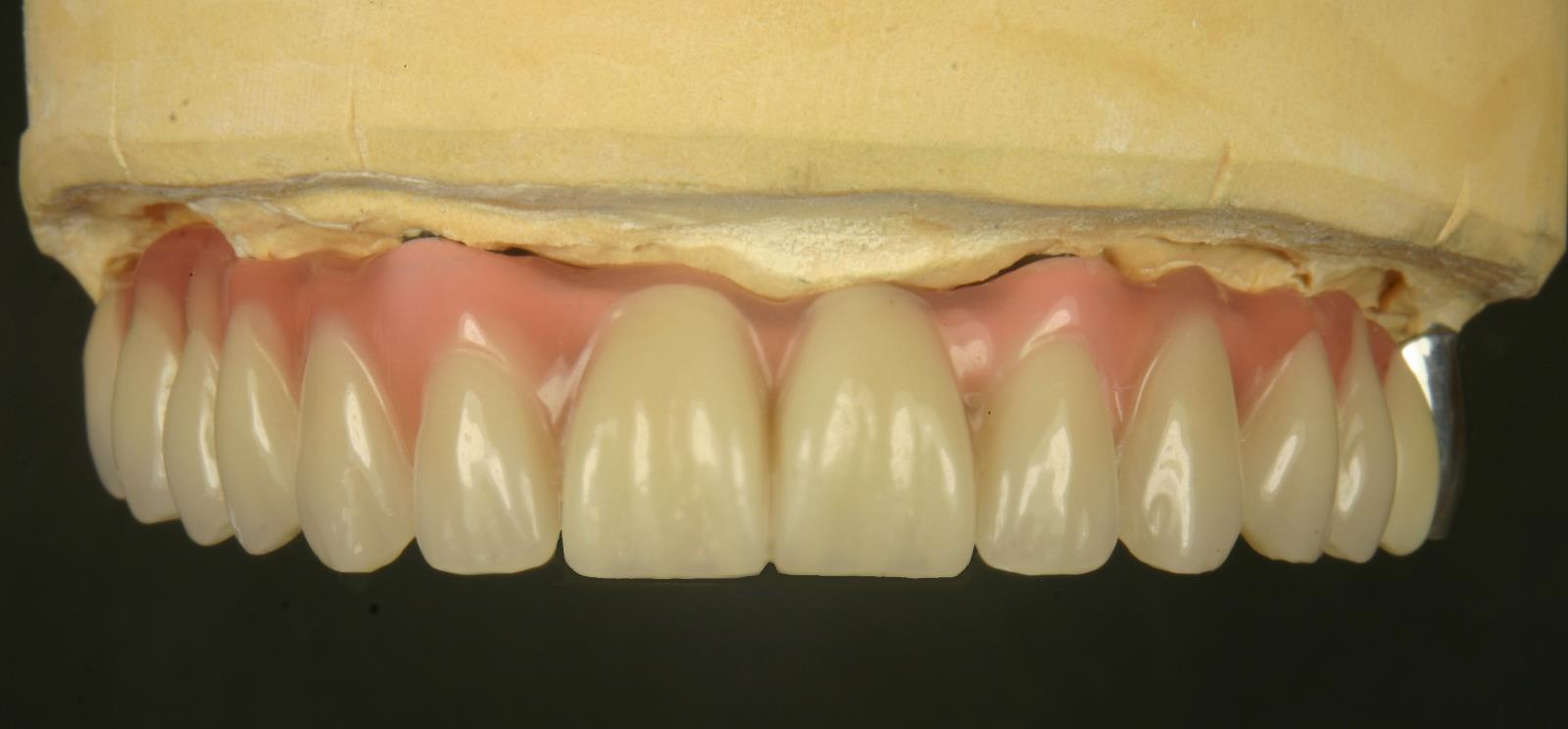
Fotos zur Farbbestimmung, Gesichtsanalyse und Korrekturhilfe

