Teleskopbrücken auf natürlichen Zähnen
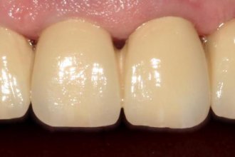
Teleskopierende Brücken sind komfortabel und ästhetisch wie festsitzende Brücke. Man kann sie kaum von festsitzenden Zahnersatz unterscheiden. Sie haben aber den Vorteil herausnehmbar zu sein. Dadurch ist die Reinigung uneingeschränkt möglich und einfacher. Geht ein Zahnstumpf verloren, wird das Teleskop aufgefüllt und die teleskopierende Brücke kann weiter getragen werden. Auch wenn eine Verblendung Schaden nimmt, ist die Reparatur außerhalb des Mundes kein Problem.
Keramisch verblendete Teleskope: Über 25 jährige Erfahrung
Fotos zur Farbbestimmung, Gesichtsanalyse und Korrekturhilfe

