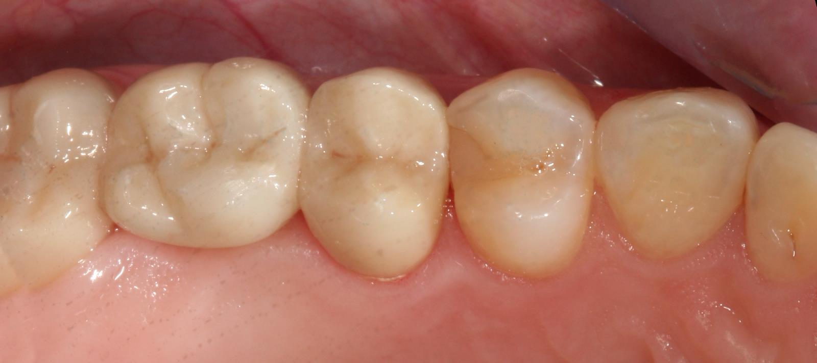
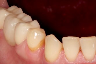
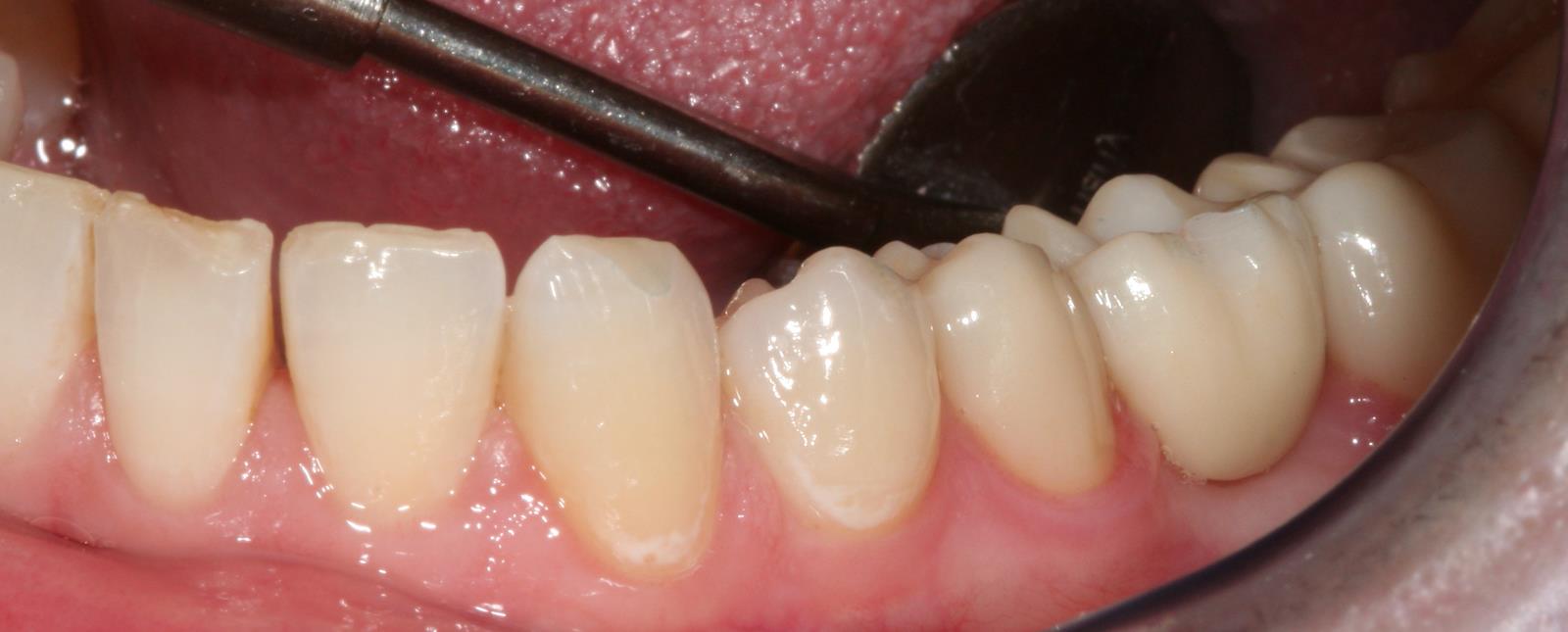
Vollzirkonkrone
Zahnfarben:
Vollzirkonkronen und Brücken bestehen komplett aus der Hochleistungskeramik Zirkonoxid. Normalerweise ist dieser Werkstoff zwar weiß aber recht opak. Durch eine etwas veränderte Zusammensetzung und Verarbeitung des Materials ist es transluzenter und zahnähnlicher. Allerdings ist eine geschichtete Verblendkeramikkrone ästhetischer. Deshalb empfehlen wir Vollzirkon nur im Seitenzahnbereich.
Wir können Vollzirkonkronen preiswerter als Metallkeramikkronen anbieten.
Beständig:
Abplatzungen und Gerüstbrüche sind so gut wie ausgeschlossen. Durch die hohe Festigkeit des Materials sind selbst bei Knirschern keine
Defekte zu erwarten.
Metallfrei:
Der gesamte Zahnersatz besteht nur aus transparentem Zirkonoxid, keramischen Malfarben und Glasurkeramik.

