Presskeramikkronen geschichtet E-max
Krone und Brücke aus Presskeramik. Der linke große Schneidezahn fehlt.
Ausgangssituation
An Stelle der kleinen Schneidezähne sind Implantate gesetzt worden.
Anprobe von Kunststoffkronen, um die Form festzulegen.
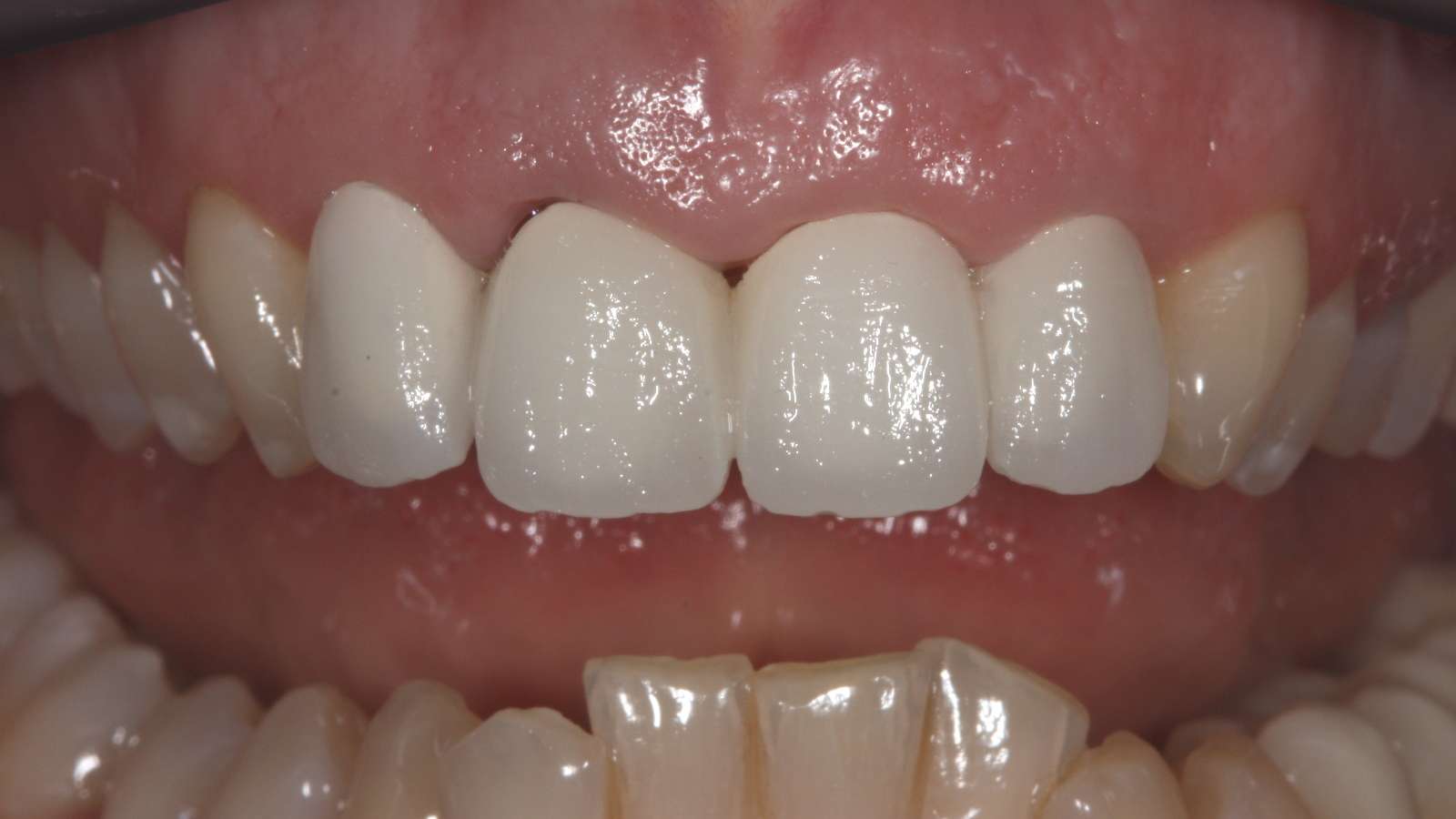
Fertige Presskeramikkronen
Alte Metallkeramikkronen im Schneidezahnbereich
Anprobe Kunststoffkronen
Ergebnis
Presskeramikkronen geschichtet E-max
Individuell geschichtete Presskeramikkronen sind ästhetisch High End. Auf einem dünnen Hütchen aus Presskeramik werden farblich verschiedene Keramikschichten aufgetragen. Durch individuelle Farbnahme und Anprobe eines Kunststoffgerüstes lässt sich ein vorhersagbares Ergebnis erzielen.
Der Fall auf den Bildern wurde mit 2 Veneers (Keramikschalen) auf den Zapfenzähnen und geschichteten Presskeramikkronen auf den Implantaten gelöst.
Fotos zur Farbbestimmung, Gesichtsanalyse und Korrekturhilfe

