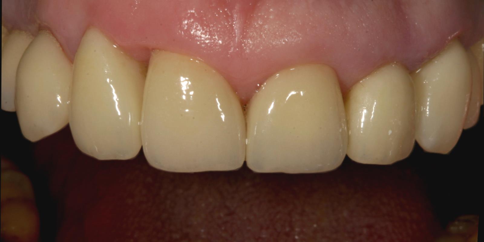
Umfangreiche Versorgung mit Vollkeramik
Komplizierte Ausgangssituation mit Kreuzbiss und lückiger Schneidezähnen.
Bei komplizierten Fällen modellieren wir auf den Situationsmodellen erst einmal mit Wachs die Veränderung, die wir für sinnvoll erachten.
In diesem Fall erreichten wir einen harmonischeren Gesamteindruck und bessere Funktionalität

